Признаки климакса у женщин в 43 года: симптомы наступления менопаузы По мере достижения женщинами 43-летнего…
Рубрика “Гинеколог”
Категория: Гинеколог
Гистероскопия: показания, ход проведения операции, восстановление — МЕДСИ Гистероскопия — метод обследования матки при помощи…
Особенности лечения Дюфастоном при полипе эндометрия Возникновение полипов в матке сопровождается интенсивным отторжением крови при…
Опухоли желудка Под полипами желудка понимают различного происхождения доброкачественные опухоли, выступающие в его просвет ….
Как Полижинакс помогает справиться с молочницей Лечение молочницы невозможно без местной терапии. Наиболее эффективным лекарством…
Колонка женского врача: в отпуск без прокладок Надеюсь, вы хорошо знаете, что регулярный прием комбинированных…
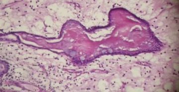
Гистология полипа матки после его удаления — Гинекология Лечение полипов в матке производится в два…
Тренируем интимные мышцы. ТОП-7 работающих методик Женское здоровье во многом зависит от состояния половыхорганов. Если…
Свечи Полижинакс при беременности Полижинакс состоит из трех активных веществ: сульфата неомицина, сульфата полимиксина В…
Покажет ли беременность тест на 21 день цикла Женщины, мечтающие стать мамами, с нетерпением ждут…










