Мультифолликулярные яичники, нет овуляции
Содержание
Мультифолликулярные яичники – что это значит, и как влияет патология на зачатие?

Различного рода проблемы с зачатием испытывает около 20 % женщин репродуктивного возраста. Выяснить причину длительного отсутствия долгожданной беременности сложно, а порой и невозможно.
Среди нарушений, отражающихся на работе репродуктивной системы, отдельное место занимает такая проблема, как мультифолликулярные яичники: что это за болезнь, как проявляется, женщины узнают после обследования.
Мультифолликулярные яичники – что это значит?
У каждой женщины в половых железах находится определенное количество фолликулов. Ежемесячно в течение менструального цикла происходит созревание нескольких таких образований (4–7). При этом один из них, доминантный, тормозит развитие других. Непосредственно из него потом и выходит созревшая яйцеклетка, готовая к оплодотворению. Так происходит в норме.
Однако у некоторых женщин в ходе обследования выявляется мультифолликулярная структура яичников. Это означает, что на одном из парных органов одновременно увеличивается 8–12 фолликулов.
В итоге их общее количество до 2 раз превышает установленную норму. При этом ни один из них не доходит до стадии созревания. Чаще встречается мультифолликулярный правый яичник.В результате изменений женщина наблюдает сбой менструального цикла, который проявляется отсутствием месячных в течение полугода и больше.
Поликистоз и мультифолликулярные яичники – в чем разница?
Мультифолликулярные изменения яичников (МФЯ) женщины нередко путают с другой патологией – поликистозом. Это два разных заболевания, со своими особенностями клинической картиной и симптомами. Рассматривая их по отдельности, можно выделить следующие характерные черты патологии:
При поликистозе врачи диагностируют при УЗИ следующие изменения:
- увеличение объема яичников практически вдвое;
- утолщение капсулы яичника (до четверти диаметра самого органа);
- по периферии под капсулой располагается 10 и больше фолликулов, диаметр каждого из которых 10 мм.
При мультифолликулярных яичниках на аппарате УЗИ наблюдаются:
- нормальный объем яичников;
- фолликулов всегда больше 7-8, объем каждого 4–10 мм3.
Учитывая эту особенность, специалисты, рассказывая про мультифолликулярные яичники, что это за нарушение, сравнивают его с одним из ультразвуковых симптомов, вариантом нормы. Однако, учитывая возможность наличия нечеткой клинической картины при поликистозе яичников, врачи всегда проводят дифференциальную диагностику, если у женщины обнаруживается мультифолликулярность этих органов.
Мультифолликулярные яичники – причины
Разобравшись с термином мультифолликулярные яичники, что это за болезнь, выделим возможные причины развития патологии. Мультифолликулярная трансформация яичников, как показывают наблюдения врачей, в большинстве случаев обусловлена генетическими факторами.
При сборе анамнеза неоднократно выяснялось, что молодые мамы также сталкивались с избыточным созреванием фолликулов в яичниках.
Второй по распространенности причиной, приводящей к формированию мультифолликулярных яичников, является низкий уровень лютеинизирующего гормона (ЛГ).
Это вещество вырабатывается в передней доле гипофиза. Явным признаком колебаний гормона может являться значительное и резкое колебание массы тела.
Среди других причин развития мультифолликулярных яичников гинекологи выделяют:
- Отмену гормональных контрацептивов – у женщин, длительно использовавших эти средства, в первые 2-3 цикла после окончания их приема может созревать больше фолликулов.
- Нарушение работы щитовидной железы.
- Повышение уровня пролактина (период лактации).
- Период полового созревания.
- Частые стрессы и постоянные переживания.
Мультифолликулярное строение яичников не является провоцирующим фактором для развития патологий в организме.
Данное нарушение длительное время присутствует в половой системе, и о его наличии женщины нередко узнают случайно.
Однако мультифолликулярность практически всегда отражается на фертильности женщины и ее менструальном цикле. Пациентки с данным отклонением испытывают проблемы с зачатием.
Мультифолликулярные яичники – симптомы
Признаки мультифолликулярных яичников не имеют специфического характера. Нарушение не вызывает нарушения общего самочувствия пациентки.
О возможном наличии отклонения женщины начинают задумываться, когда на протяжении нескольких циклов месячные отсутствуют или возникают проблемы на этапе планирования беременности.
В большинстве случаев подобные ситуации и становятся поводом для комплексного обследования.
Овуляция при мультифолликулярных яичниках
Синдром мультифолликулярных яичников характеризуется отсутствием овуляции. Связано это с тем, что из увеличивающихся яичников ни один не достигает размера, необходимого для овуляции – доминантный фолликул отсутствует. Такой менструальный цикл именуют ановуляторным. Подобное явление может наблюдаться и в норме, но не чаще 5 раз за год.
Отсутствие овуляции должно подтверждаться результатом проводимой фолликулометрии, а не быть самостоятельным выводом девушки о своем здоровье на основании графика базальной температуры и теста на овуляцию. Только так можно выставить диагноз и разобраться с причинам мультифолликулярности.
При таком нарушении, как мультифолликулярные яичники, задержка месячных становится одним из главных симптомов. Отсутствие менструации является следствием неправильного функционирования половых желез. В результате происходящих изменений наблюдается удлинение первой фазы цикла: вместо обычных 12–14 суток она длится 30.
Затем начинается вторая фаза, длящаяся 8–10 дней. В результате общая продолжительность цикла растягивается до 50 дней.
Учитывая это, женщина фиксирует пропуск очередной менструации, которая может отсутствовать на протяжении нескольких месяцев.Аменорея нередко и заставляет обратиться к врачу для обследования, в ходе которого выявляются мультифолликулярные яичники (что это, женщина представляет с трудом).
Мультифолликулярные яичники, гормоны
Заподозрив мультифолликулярный тип строения яичников, для установления гормонального статуса организма назначают соответствующие анализы.
Гормоны 17-ОН прогестерон, относящиеся к мужским гормонам, продуцируемым корой надпочечников, при мультифолликулярных яичниках всегда в норме или у верхней ее границы.
Но если у пациентки развивается поликистоз, который схож с рассматриваемым нарушением, то уровень этих гормонов всегда выше нормы.
Чтобы выявить мультифолликулярные яичники и установить, что это не поликистоз, назначают исследования на следующие гормоны:
- лютеинизирующий (ЛГ);
- фолликулостимулирующий (ФСГ);
- тестостерон;
- инсулин;
- кортизол;
- тироксин (Т4);
- трийодтиронин (Т3);
- тиреотропин (ТТГ).
Эхопризнаки мультифолликулярных яичников
УЗИ мультифолликулярных яичников является самым достоверным способом диагностики нарушения.
В ходе его осуществления врачи оценивают непосредственно объем половых желез, узнают количество увеличившихся фолликулов. Отдельное внимание обращают на плотность ткани.
При МФЯ эхогенность половых желез не превышает данный показатель у матки. Эти особенности помогают идентифицировать нарушение и исключить поликистоз яичников.
Главными отличиями являются:
- размер яичников – в пределах 34–37 мм в длину и 18–22 в ширину;
- железы имеют однородную структуру, наружная оболочка не утолщена.
Мультифолликулярные яичники – что делать?
Прежде чем предпринимать какие-либо действия, необходимо выяснить, из-за чего возникла такая патология, как мультифолликулярные яичники. Лечение подбирают в соответствии с причиной нарушения.
Если синдром развивается в период полового созревания, терапию не проводят.
Аналогично действуют и в случае отсутствия нарушения менструального цикла или проблем с зачатием – мультифолликулярные яичники расцениваются как допустимый вариант нормы.
Когда МФЯ сопровождается характерной симптоматикой, для установления причины женщине необходимо пройти следующие обследования:
- анализ крови на гормоны;
- МРТ органов малого таза;
- УЗИ матки и придатков.
Как лечить мультифолликулярные яичники в конкретном случае врач определяет индивидуально. Основу медикаментозной терапии при МФЯ составляют гормональные препараты.
Подбор лекарственных средств осуществляется исключительно врачом, который устанавливает дозировку, частоту приема и продолжительность терапии.
К лечению гормонами прибегают, когда у женщины в течение 4-5 циклов подряд отсутствует подтвержденная фолликулометрией овуляция.
Для лечения чаще применяют оральные контрацептивы. Среди известных и часто используемых препаратов этой группы отдельно выделяют Дюфастон – при мультифолликулярных яичниках действенное средство. Лекарство помогает нормализовать гормональный фон, стабилизировать цикл, восстановить овуляцию.
Среди аналогичных препаратов:
- Утрожестан;
- Ярина;
- Клостилбегит.
Мультифолликулярные яичники – лечение народными средствами
При диагнозе мультифолликулярные яичники народные средства врачи разрешают использовать в качестве дополнительных методов лечения. Перед использованием каждый рецепт необходимо согласовать с врачом. Среди действенных рецептов стоит отметить следующие.
Настой тысячелистника и крапивы
Ингредиенты:
- тысячелистник – 1 ч. ложка;
- крапива – 1 ч. ложка;
- вода – 250 мл.
Приготовление, применение
- Травы смешивают и заливают кипятком.
- Настаивают в термосе одну ночь.
- Процеживают и принимают в течение дня. Курс терапии длится месяц. После недельного перерыва повторяют лечение.
Настойка красной щетки
Ингредиенты:
- красная щетка – 80 г;
- водка – 500 мл.
Приготовление, применение
- Сырье заливают водкой и помещают ёмкость в темное место.
- Настаивают 7 дней, процеживают.
- Принимают по половине чайной ложки 3 раза в день перед едой.
Мультифолликулярный тип яичников является препятствием для планирования беременности. При этом нарушении у женщин часто наблюдается отсутствие овуляции, поэтому оплодотворение становится невозможным. Однако ановуляторный цикл может сменяться овуляторным, поэтому женщинам, длительно планирующим беременность, удается забеременеть.
Чтобы повысить свои шансы стать мамой, женщина, в течение 3 месяцев и дольше планирующая зачатие, должна обратиться за помощью к врачам.
Диагноз «мультифолликулярные яичники» не отождествляется с бесплодием. Данное состояние врачам удается корректировать с помощью гормональной терапии. В некоторых случаях настойчивым, постоянно предпринимающим попытки женщинам удается забеременеть и самостоятельно. Однако в таком случае стоит учитывать, что возможные сопутствующие нарушения могут повлиять на течение беременности.
Мультифолликулярные яичники – как забеременеть?
Универсального рецепта, помогающего женщине забеременеть при МФЯ, не существует. Все определяется степенью и выраженностью отклонения, причиной нарушения.
В отдельных случаях единственным решением проблемы становится ЭКО при мультифолликулярных яичниках.
Протокол процедуры осуществляется под строгим контролем эмбриологов, которые осуществляют подсадку плодного яйца после оплодотворения половых клеток вне организма женщины.
| Тонкий эндометрий – причины и лечение при планировании беременности Тонкий эндометрий зачастую выступает причиной отсутствия беременности. Плодное яйцо не может нормально имплантироваться в полость матки, поэтому возникает аборт на раннем сроке. Однако с помощью препаратов многим удается увеличить эндометриальный слой. | Суррогатное материнство – все тонкости процедуры Суррогатное материнство – медицинская технология, направленная на решение проблемы бесплодия и преодоление факторов, не позволяющих женщине выносить своего ребенка. Это непростой процесс, но его результаты оправдывают все сложности и переживания. |
| Донор яйцеклетки – все секреты процедуры Донор яйцеклетки – женщина 18–35 лет, добровольно предоставляющая биоматериал для ЭКО. Подобная программа помогает другим дамам обрести счастье материнства. Однако перед тем как сдать ооциты, необходимо пройти полное обследование. | Несовместимость партнеров при зачатии – как определить и что делать дальше? Несовместимость партнеров при зачатии выступает в качестве одной из возможных причин отсутствия гестации. Патология может иметь несколько форм. Коварство патологии заключается в полном отсутствии симптомов до начала планирования беременности. |
Источник: https://womanadvice.ru/multifollikulyarnye-yaichniki-chto-eto-znachit-i-kak-vliyaet-patologiya-na-zachatie
Мультифолликулярные яичники — причины и симптомы заболевания

Мультифолликулярные яичники (МФЯ) – это состояние, при котором в яичнике одновременно созревает больше фолликулов, чем обычно. Это расстройство очень распространено в гинекологии, и оно диагностируется у каждой третьей женщины на УЗИ.
Как возникает заболевание яичников
Обычно за один менструальный цикл в яичнике созревает от 4 до 7 фолликулов. Они растут неравномерно: доминируют один или два фолликула, т.е. они растут быстрее.
При синдроме мультифолликулярные яичники в организме созревают 8 или более фолликулов. Это может быть временным явлением, а может указывать на проблемы с гормональной системой.
Иногда эта патология является предвестником поликистоза.
Главный вопрос, который мучает пациентов с мультифолликулярными яичниками: возможно ли забеременеть? В некоторых случаях это отклонение не влияет на овуляцию, поэтому женщина может зачать ребенка, но, если беременность не наступает в течение нескольких месяцев, а анализы показывают отсутствие овуляции, следует начинать лечение. Лучше всего, если это народные средства, которые не нарушают гормональный баланс и помогают естественным образом восстановить репродуктивную функцию.
Причины возникновения МФЯ
- Наиболее распространенные причины возникновения многофолликулярных яичников это:
- генетическая предрасположенность;
- гормональный сбой (недостаток лютеинизирующего гормона, проблемы с щитовидной железой, период лактации, сбой в период полового созревания);
- внезапная потеря веса или увеличение веса;
- прекращение использования противозачаточных таблеток;
- депрессия, постоянный стресс.
Чтобы определить точные причины, необходимо пройти гормональный анализ. Если есть существенные отклонения от нормы, шансы на беременность уменьшаются, и пациентка должна пройти курс лечения.
Симптомы МФЯ
В большинстве случаев такое отклонение не дает симптомов. Только ультразвук может обнаружить эхо-сигналы: количество фолликулов, превышающее норму. В этом случае необходимо отслеживать динамику развития этих фолликулов: в этот момент ультразвук проводится в начале, середине и конце менструального цикла.
Если проблемой является низкий уровень лютеинизирующего гормона, существуют такие признаки многофолликулярных яичников:
- задержка менструального цикла;
- аменорея (не более шести месяцев);
- бесплодие (беременность не наступает из-за отсутствия овуляции).
Стоит отметить, что эти симптомы не обязательно указывают на наличие в анамнезе МФЯ. Но нарушения менструального цикла являются явным признаком гормонального сбоя, поэтому лечащему врачу необходимо понять диагноз и устранить причину.
Мультифолликулярные яичники и беременность
Часто наличие МФЯ не предотвращает наступление беременности, так как эти изменения не влияют на овуляцию. Женщины с эховирусными МФЯ без гормональных нарушений считаются здоровыми и имеют небольшой риск развития беременности и связанных с ней проблем.
Однако с учетом текущей гормональной дисфункции, то есть отсутствия лютеинизирующего гормона, количество циклов овуляции уменьшается. Как правило, после правильной фармакотерапии гормональные нарушения устраняются, проблемы с беременностью устраняются.
Если пациент планирует зачать ребенка после ультразвукового сканирования, и выдается результат о наличии мультифолликулярных яичников, то рекомендуется лабораторное исследование гормональной функции яичников.
При поликистозе яичников беременность маловероятна. Почти все (85%) пациенты с этим диагнозом имеют ановуляцию и первичное бесплодие, а редкие (3-5%) спонтанные беременности показывают преждевременные роды и выкидыши.В отличие от поликистозов, в многофолликулярных яичниках иногда возникают проблемы с зачатием, а не с самой беременностью. Если результат структурных изменений в яичниках уже взят во время беременности, проводится подробное лабораторное обследование для выявления возможных гормональных нарушений для немедленной коррекции.
Дефицит прогестерона — причина отсутствия беременности
Наиболее частой причиной тревожности по поводу беременности при МФЯ является дефицит прогестерона. Во время формирования плаценты прогестерон выделяется желтым телом во время беременности. После того, как плацента полностью сформировалась, она сохраняет сарен, чтобы сохранить рыхлость в желтом теле, и начинает синтезировать только прогестерон.
Развивающийся и растущий плод воспринимается маткой как «инородное тело», которое имеет тенденцию к рефлексивному разрыву. Прогестерон предотвращает преждевременное прерывание беременности, так как предотвращает сокращение мышечной стенки при беременности. Он также стимулирует рост матки и участвует в подготовке молочных желез к лактации.
При дефиците прогестерона в мультифолликулярных яичниках существует риск преждевременного прерывания беременности. Несмотря на возможность осложнений, подавляющее большинство случаев МФЯ не влияет на нормальное течение беременности и и плода.
Лечение многофолликулярных яичников
Очень важно понимать, что в конечном итоге не следует воспринимать единственный результат о наличии структурных аномалий в яичниках.
Яичники очень чувствительно реагируют на любые временные события (переохлаждение, стресс, инфекционные заболевания, внезапные колебания настроения, чрезмерную физическую активность и т.д.
) в организме и окружающей среде, а иногда реагируют на них с изменением своих функции.
Поэтому при повторном УЗИ в следующем цикле наличие мультифолликулярных яичников может больше не диагностироваться. Исследование проводится в 2 или 3 последующих циклах, и, если картина не меняется, принимается решение о дополнительных тактиках.
Многофолликулярные яичники не лечат, поскольку они не рассматриваются как диагноз или заболевание. Однако, если это является следствием постоянной гормональной дисфункции, необходимо создать и устранить ее источник. В этом случае их не лечат, но патогенез, который их провоцирует, чаще всего заключается в низком содержании лютеинизирующего гормона, ответственного за полную овуляцию.
Чтобы исправить правильный гормональный баланс и способствовать овуляции, в его составе используются гормональные препараты с соответствующим соотношением гормонов. Они подбираются индивидуально на основании лабораторных данных.
Многофолликулярные яичники у подростков – обычное явление, связанное с возрастной нормой, если девушка не жалуется на тяжелую менструальную дисфункцию или другие недуги.
Если мультифолликулярные яичники диагностируются на фоне применения гормональной контрацепции, считается физиологическое состояние.
Когда прием гормональных средств завершен и гормональный фон полон, структура яичников самостоятельно улучшается после двух или трех циклов.
Пошаговое лечение МФЯ
Чрезвычайно важно точно интерпретировать данные ультразвукового сканирования, чтобы отделить мультифолликулярные яичники от поликистозных офтальмологических, так как иногда безобидный результат превращается в серьезный диагноз после дополнительного обследования.
Лечение поликистозных яичников требует много времени и состоит из множества последовательных стадий, так как многие важные системы организма участвуют в формировании поликистоза. На начальных этапах существующие метаболические и эндокринные нарушения улучшаются: разрабатывается индивидуальный план физической активности, пересматривается рацион питания и назначаются меры по снижению веса.
Следующие шаги предназначены для устранения гормональных нарушений (особенно гиперандрогении) и обеспечения овуляции. С этими задачами могут справиться гормональные препараты из группы комбинированных контрацептивов. При лечении поликистоза предпочтительными являются препараты с низким содержанием эстрогена (Marvelon, Logest, Janine и аналоги).
Изменения, происходящие в яичниках в течение периода лечения, полностью контролируются ультразвуком. Если женщина не планирует беременность, лечение прекращается. Если необходимо улучшить циклы овуляции, терапия завершается следующим этапом – стимуляция овуляции.К сожалению, не всегда возможно выполнить репродуктивную функцию в случае поликистоза. И если лечение окажет положительный эффект, болезнь может вернуться через несколько лет.
Лечение народными методами
В отличие от фармацевтических гормональных препаратов, лечение травами не имеет побочных эффектов.
- Авраамовое дерево увеличивает секрецию лютеинизирующего гормона в гипофизе, а значит, устраняет причину МФЯ. Лечения длится 3 месяца для устойчивого эффекта. Заваривать чай каждое утро и вечер: для этого замочить 10 г фруктов в стакане кипятка и выпейте легкого меда.
- Весенний кипарис, содержит фитогормоны, стимулирует выработку лютеинизирующего гормона. Положить несколько трав в стеклянную емкость, добавить 1 литр водки или разбавленного спирта, накрыть и убрать в темное место. Через 10 дней настойка готова. Утром и вечером пить по чайной ложке лекарства.
- Пастернак столовый. Его народные целители рекомендуют настаивать на вине (1 литр напитка на 100 г трав). Для этого нагреть вино почти до кипения и добавить в него немного гвоздики. Залить этим составом сухую траву и смешать с несколькими столовыми ложками меда. Оставить в теплом месте на три дня, затем процедить и хранить в холодильнике. Пить по 50 мл каждую ночь перед сном, за исключением дней менструации.
Источник: https://lyamusik.ru/planirovanie-beremennosti/multifollikulyarnye-yaichniki/
Нужно ли лечение при мультифолликулярных яичниках?

Иногда при проведении УЗИ в качестве заключения пишут мультифолликулярные яичники, что не является диагнозом, но может стать причиной проблем с зачатием. Что это за патология и как она влияет на беременность постараемся рассказать ниже.
Что означает понятие мультифолликулярные яичники
Яичники являются парными железами женской репродуктивной системы, которые соединены с маткой фаллопиевыми трубами. Основной функцией органа является генеративная, так как именно там созревают женские половые клетки, а также эндокринная, так как в придатках генерируется большинство гормонов необходимых для продолжения рода — эстрогены, андрогены, прогестины.
В женском организме в течение одного менструального цикла выделяется от 4 до 7 фолликулов, по мере роста 1 из них становится доминантным. Мультифолликулярными придатками называются те, в которых производится 8 и более фолликулов в течение одного цикла.
Считается, что избыточное количество фолликулов является как вариантом нормы, так и симптомом потенциального заболевания – поликистоза яичников. Если были обнаружены эхопризнаки яичников с мультифолликулярной структурой, необходимо обратиться к врачу за более глубокой диагностикой.
Причины мультифолликулярности
Среди возможных причин СМФЯ, которые имеют неопасную, физиологическую природу выделяют следующие:
- Отмена гормональных препаратов. Контрацептивы угнетают развитие фолликула, приводя к подавлению овуляции. Через 2-3 месяца после отмены препаратов состояние придатков приходит в норму.
- Половое созревание. Из-за перестройки организма гормональный фон достаточно нестабилен, ввиду чего менструальный цикл не всегда сопровождается овуляцией. При нормализации гормонального фона фолликулогенез приходит в норму.
- Генетическая наследственность.
- Дефицит ЛГ, что препятствует развитию половых клеток.
- Нарушение деятельности эндокринной системы на фоне стресса, сахарного диабета, ожирения, резкого снижения веса, патологии коры надпочечников, щитовидной железы.
- Период грудного вскармливания.
причина, влияющая на МФЯ – дисбаланс гормонов.
Когда это патология
Беременность при МФЯ, чаще всего, возможна, но если она не наступает, это может говорить о наличии патологий. Проблемы с зачатием могут возникнуть при сложных формах поликистоза и мультикистоза придатков.
При наличии патологии обычно присутствуют эхографические признаки, которые указывают на степень заболевания. К сожалению, патологии придатков не всегда сопровождаются их увеличением или изменением структуры, а у многих здоровых женщин орган может иметь больший или меньший размер. Для установления патологии достаточно анализа на гормоны.
Основной симптом наличия патологии — бесплодие. Также, если мультифолликулярность была вызвана серьезными заболеваниями, устранение такого явления не всегда возможно.
СПКЯ
При поликистозе наблюдается увеличение придатка и наличие по краям незрелых одинаковых по размеру фолликулов, которые называют кистами. Их размер колеблется от 2 до 8 мм.
Мультифолликулярная структура яичников переходит в поликистозную форму, если имеются такие признаки:
- отсутствие овуляции;
- нарушения менструального цикла;
- ненормальная длительность и обильность менструации;
- гирсутизм, изменение голоса;
- жирная кожа, акне;
- ожирение;
- алопеция;
- повышенное количество инсулина;
- фиброзно-кистозная мастопатия;
- бесплодие.
Для выявления наличия патологии сдают анализ на гормоны: ЛГ, ФГС, тестостерон, щитовидной железы, инсулин и кортизол. После проведения исследования, необходимо установить, сохранена ли функция щитовидки.
Мультикистозные яичники — это такая форма поликистоза, когда орган не увеличивается, по всему корковому веществу располагаются разные по размерам фолликулы от 3 до 12 мм в диаметре, состояние легко корректируется инъекциями гормонов гипофиза, ОК.
Следует отметить, что достаточно часто синдром поликистозных яичников является коммерческим диагнозом, поскольку данное состояние диагностируется не только у женщин репродуктивного возраста, но и у подростков с неустановившимся менструальным циклом.
Состояние может сопровождаться у взрослых женщин нарушением обмена веществ, вызванным гипо или гипер функцией щитовидки или стрессовыми ситуациями.
Сегодня прогрессивные врачи ведут разговоры об изменеии название данного синдрома поскольку поликистозность и мультифулликулярность в большинстве случаев не патология, а физиологическая норма работы придатков.
Бесплодие
Бесплодие при признаках МФЯ возможно в том случае, если нет овуляции. К счастью, при правильной гормонотерапии, корректировке питания, снижении эмоциональных нагрузок можно с легкостью нормализовать работу органа.
Если проблема заключается в заболевании внутренних органов, инсулинорезистентности, сахарном диабете, дисфункции щитовидной железы, то повлиять на состояние половой системы получается не всегда.
Гиперандрогения
Одним из факторов, влияющим на состояние придатков, являются мужские гормоны. Андрогены угнетают функции женской половой системы, в том числе влияют на работу эндокринных желез, вследствие чего может развиться состояние поликистозных или мультикистозных яичников.
Лечение традиционно происходит с помощью эстроген-гестагенных оральных контрацептивов, однако прогрессивные эндокринологи рекомендуют пересмотреть питание и образ жизни.
Можно ли забеременеть при МФЯ
МФЯ и беременность — вещи совместимые. Так как трансформация придатков происходит на фоне гормональных скачков, при дисбалансе возможны патологии беременности.
Забеременеть при данном заболевании можно, при условии, нормальной овуляции. При нарушениях менструального цикла, работы эндокринной системы, стрессах, ожирении врач с помощью гормонотерапии и коррекции питания восстанавливает функцию органа.
Особенности лечения женщин планирующих беременность
Зная о том, как забеременеть при МФЯ, несложно догадаться, что лечение основывается на нормализации гормональных и метаболических процессов организма. Лечиться с помощью народных средств не рекомендуется, так как при применении, к примеру, боровой матки, беременность может быть внематочной.
Корректируется подобная ситуация приемом витаминов, устранением стресса и нормализацией питания и двигательной активности.
В сложных случаях при наличии больших кист в яичнике применяется метод инъекций гормонов гипофиза в мозговую часть придатка. Также могут делать инъекции ЛГ и ФСГ. Такое лечение помогает в 60-70% случаев терапии. Чаще всего такое лечение назначается до проведения ЭКО.
При мультикистозе применяют ОК, так как они считаются способными уменьшить количество кист, а СПКЯ лечится метформином.
Итог
МФЯ не во всех случаях требуют лечения. В определенные периоды жизни мультифолликулярность придатков является нормой. Однако иногда природа такого явления кроется в заболеваниях эндокринной системы, что в конечном счете может негативно повлиять на способность к зачатию.
Лечить МФЯ начинают с устранения проблем эндокринной системы, а заканчивается выравниванием гормонального фона.
Источник: https://DaZachatie.ru/zabolevania/multifollikulyarnye-yaichniki
Мультифолликулярные яичники

Основным механизмом нарушения фертильности при мультифолликулярных (или поликистозных) яичниках является хроническая ановуляция. Международная классификация болезней Х пересмотра определяет данное состояние шифром N97.0 – женское бесплодие, связанное с отсутствием овуляции.
Выделение данного состояние в отдельный шифр обусловлено, по-видимому, широким распространением данного патологического состояния в популяции.
Считается, что три четверти пациенток с эндокринным фактором бесплодия – имеют хроническую ановуляцию, ассоциированную с мультифолликулярными яичниками.
Причины нарушения овуляции при мультифолликулярных яичниках
Патогенез нарушения овуляции при мультифолликулярных яичниках сложен и многокомпонентен. Одним из основных этиопатогенетических факторов можно считать нарушение регуляции выделения релизинг факторов, и как следствие нарушения в продукции гонадотропинов и изменения их соотношения в сторону преобладания лютеинизирующего гормона (ЛГ).
Преобладание ЛГ в свою очередь, вызывает нарушения в функции клеток яичника, с развитием овариальной гиперандрогении, гипертрофии тека-клеток, гиперпродукции андрогенов, уплотнению белочной оболочки яичника. Большое значение имеют сопутствующие метаболические нарушения, гиперинсулинемия и как следствие инсулинорезистентность.
Основным патогенетическим моментом является стимуляция синтеза ЛГ-ассоциированного синтеза андрогенов за счет нарушенной стимуляции рецепторов инсулиноподобного фактора роста 1, большое значение имеет внегонадный синтез стероидных гормонов жировой тканью.
Также, важную роль играют нарушения экспрессии интраовариальных цитохромов, с последующим нарушением регуляции продукции андрогенов.Роттердамский консенсус (2004г.) постановил, что наличие двух из трех признаков – ановуляция, гиперандрогения, УЗ-признаки мультифолликулярных яичников – является критерием установления диагноза синдром поликистозных яичников (СПКЯ).
Диагностика мультифолликулярных яичников
В диагностике важное значение имеет сбор анамнеза, выяснение жалоб, наследственности, характера перенесенных заболеваний с детства по настоящее время, наличие вредных привычек.
Важнейшую роль играет выяснение характера менструальной функции – возраст менархе, становление менструального цикла, нарушения цикла в прошлом и на данный момент, характеристика длительности цикла, особенности самого менструального кровотечения.
В случае наличия в анамнезе беременностей – необходимо выяснить характер их течения и исход.
При физикальном обследовании выясняется индекс массы тела по формуле Брея, отношение объема талии к объему бедер, степень гирсутизма, наличие и характер ожирения. Патогномоничным признаком инсулинорезистентности является наличие особых участков кожи с более темной пигментацией – нигроидный акантоз.
Важную информацию при обследовании пациенток с ановуляцией дает изучение гормонального профиля. Существуют определенные изменения гормонального профиля присущие пациенткам с мультифолликулярными яичниками:
- В первую фазу – повышение уровня ЛГ, тестостерона, дигидроэпиандростерон сульфата (ДГЭАС), 17 оксипрогестерона; нарушение соотношения ЛГ/ФСГ с преобладанием ЛГ более чем в 2,5 раза.
- В дни, ожидаемой второй фазы отмечается низкий уровень прогестерона, высокий уровень ЛГ, возможно высокий уровень эстрадиола.
При проведении глюкозотолерантного теста – выявляются признаки инсулинорезистентности.
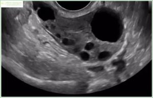
Важную информацию дает ультразвуковое исследование органов малого таза: увеличение объема яичников, увеличение объема стромы яичников (андроген-продуцирующие зоны), множество антральных фолликулов (>10 в каждом яичнике) расположенных диффузно в строме, либо по периферии к строме (I и II тип мультифолликулярных яичников соответственно).
Алгоритм обследования супружеской пары при нарушениях репродуктивной функции, ассоциированных с отсутствием овуляции.На первом этапе обследования супружеской пары осуществляется исследование спермограммы.
- В случае существенных изменений в фертильности спермы рекомендуется повторная спермограмма через 14 дней с последующей консультацией андролога. В случае ожидаемой низкой эффективности лечения, либо при отсутствии эффекта от проводимой терапии – на данном этапе рекомендуется проведение программы экстракорпорального оплодотворения (ЭКО) с применением технологии принудительного введения сперматозоида в цитоплазму яйцеклетки (ICSI). Данный метод является путем преодоления тяжелых форм мужского бесплодия и может применяться в качестве первой линии лечения вне зависимости от восстановления овуляции супруги.
- При фертильных показателях спермограммы, хорошим ожидаемым либо полученным результатам лечения мужа – супружеской паре можно провести комплекс мероприятий, направленный на восстановление естественной фертильности, либо применение метода искусственной инсеминации.
- При удовлетворительных показателях спермограммы необходимо проверить проходимость маточных труб.
Приказ 107н «О порядке использования вспомогательных репродуктивных технологий, противопоказаниях и ограничениях к их применению» от 30 августа 2012г. регламентирует осуществлять диагностику проходимости маточных труб путем лапароскопической хромосальпингоскопии.
Применение лапароскопии при восстановлении репродуктивной функции у пациенток с нарушением овуляции на фоне мультифолликулярных яичников имеет массу преимуществ: возможность осуществления вмешательств на самом яичнике, направленных на рассечение плотной белочной оболочки, уничтожение андроген-продуцирующей стромы (демедулляция, каутеризация, дриллинг), возможность биопсии ткани яичника для гистологической верификации диагноза, возможность воздействия на сопутствующую гинекологическую патологию, возможность проверки проходимости маточных труб, при необходимости возможно провести симультанную гистероскопию. Проведение лапароскопического вмешательства на мультифолликулярных яичниках повышает шансы на восстановление собственной овуляции, либо улучшает прогноз адекватного ответа на применение индукторов овуляции. Это достигается воздействием на звенья патогенеза развития ановуляции при мультифолликулярных яичниках (разрушение андроген-продуцирующей стромы яичника, надсечение плотной белочной оболочки, являющейся механическим препятствием для прорыва доминантного фолликула — овуляции). В случае отказа пациентки от проведения лапароскопии, либо при технической невозможности ее осуществления – проверка проходимости маточных труб осуществляется либо методом гистеросальпингографии (ГСГ), либо ультразвуковой гистеросальпингоскопии (ЭХО-ГСГ). При выявлении изменений в проходимости маточных труб производится лапароскопия, либо решается вопрос о проведении программы ЭКО. Приказ 107н регламентирует проведение методов ВРТ, если беременность не наступает в течение 9-12 месяцев после проведенной лапароскопической коррекции либо неэффективных методов стимуляции овуляции. У пациенток старше 35-ти лет данные сроки могут быть сокращены.
Стимуляция овуляции при мультифолликулярных яичниках
Стимуляция функции яичников при мультифолликулярных яичниках является крайне непростой задачей.
Подбор терапевтического окна (дозы индуктора при которой будет получен ожидаемый ответ), высокая частота отмены циклов, высочайшая вероятность развития синдрома гиперстимуляции яичников – все это обуславливает необходимость проведения стимуляции функции яичников в специализированных клиниках, где накоплен определенный опыт таких методик.
Для стимуляции монофолликулярного роста могут использоваться селективные модуляторы эстрогеновых рецепторов (Клостилбегит, Кломифен), гонадотропины в различных схемах, ингибиторы ароматазы (Анастрозол, Летрозол), важным компонентом стимуляции овуляции является применение триггера овуляции – препаратов хорионического гонадотропина (ХГЧ), имитирующего овуляторный пик эндогенного ЛГ. У кломифен-резистентных пациенток первой линией терапии является применение препаратов гонадотропинов.
При необходимости проведения программы ЭКО и соответственно стимуляции суперовуляции (ССО) важно помнить, что наличие мультифолликулярных яичников является фактором риска развития такого серьезного осложнения, как синдром гиперстимуляции яичников (СГЯ).
В настоящее время отработаны различные методы профилактики СГЯ, включающие применение протоколов стимуляции суперовуляции с применением антагонистов гонадотропин-релизинг гормона (антГНРГ), отказ от повышения дозы гонадотропина в процессе ССО, при необходимости – замену триггера овуляции с ХГЧ на агонист гонадотропин-релизинг гормона (аГНРГ), отказ от переноса эмбрионов с их криоконсервацией (профилактика позднего СГЯ), в ряде случаев эффективно назначение агонистов D2 – дофаминовых рецепторов, отказ от введения триггера овуляции до снижения уровня эстрадиола сыворотки. Однако необходимо отметить, что, несмотря на проводимые меры профилактики, практически у всех пациенток с мультифолликулярными яичниками в программе ЭКО развивается СГЯ как минимум легкой степени, и основная задача лечения заключается в профилактике развития средней и тяжелой форм СГЯ.
Важно подобрать минимальную эффективную дозу гонадотропина, при которой будет получен ответ, но не разовьется СГЯ средней и тяжелой формы. С успехом применяются, так называемые, «мягкие» схемы стимуляции, при которых оптимальным считается получение меньшего количества яйцеклеток, но и меньше риск развития СГЯ.
Достигается это сочетанием непрямых индукторов овуляции с препаратами гонадотропинов, более поздним началом ССО, когда из пула растущих фолликулов уже селектировалось несколько с наибольшим порогом чувствительности к ФСГ.
Минусом данных протоколов является высокая частота отмены цикла, так как подобрать оптимальную дозу индуктора является, зачастую, крайне непростой задачей.
Восстановление репродуктивной функции у пациенток с мультифолликулярными яичниками является одновременно и простой и сложной задачей, для реализации которой необходим комплексный подход, как в диагностике, так и в лечении.
Не подлежит обсуждению необходимость снижения массы тела и коррекции инсулинорезистентности, коррекции метаболических изменений. Алгоритм обследования супружеской пары подразумевает обследование обоих супругов, с подбором наиболее оптимального метода реализации репродуктивной функции.Сочетание лапароскопического вмешательства на яичниках с применением консервативной терапии позволяет восстановить фертильность в 75-80 процентах случаев.
Вернуться к списку
Источник: https://nova-clinic.ru/statyi/multifollikulyarnye-yaichniki/
