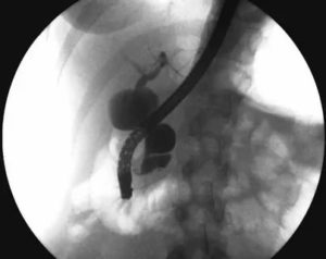
Киста холедоха у ребёнка 9 месяцев
Содержание
Киста холедоха у детей и взрослых: основные симптомы, причины возникновения, лечение, прогноз

Когда речь заходит о заболеваниях желчевыводящих путей, в основном имеются в виду воспалительные процессы и функциональные нарушения, но существуют и редкие патологии, которые не могут сбрасываться со счетов.
Первое упоминание кисты холедоха было сделано в 18 веке, заболевание описал клиницист Фатр.
Своевременная диагностика этой аномалии гарантирует выздоровление почти в 90% случаев, запущенная стадия может спровоцировать цирроз и летальный исход.
Описание
Киста холедоха – это аномальное расширение, которое возникает по причине недоразвития или патологической слабости мышц, находящихся в стенках потока. Поражаться может как весь холедох, так и только зоны перегиба.
Проще говоря, киста холедоха – это патологическое расширение желчного протока, который в пораженной области принимает форму мешка. Отток желчи при этом нарушается. Размеры кисты могут быть различными – от нескольких сантиметров до огромных.
В медицинской практике описаны кисты, которые вмещали до 8 литров жидкого содержимого.В некоторых случаях кистозное образование сопровождается расширением протоков печени. У женщин подобная патология встречается в несколько раз чаще, чем у мужчин. У детей она тоже может диагностироваться, при этом различают врожденную или приобретенную патологию.
Причины
В детском возрасте киста холедоха возникает по причине сбоя в развитии билиарной системы:
- сужение протоков врожденного характера;
- врожденные перетяжки и аномальные перегибы;
- наличие добавочных желчевыводящих потоков;
- прочие врожденные патологии.
В некоторых случаях причинами развития патологии могут быть гельминты, например, лямблии, которые поражают печень и всю билиарную систему в целом. Скопление гельминтов перекрывает протоки, что приводит к механической закупорке, вследствие чего слизистый секрет накапливается и вызывает растяжение.
Что касается взрослых, в этом случае причины кисты холедоха могут быть следующими:
- полипы;
- опухолевые образования в органах желудочно-кишечного тракта;
- опухоли печени или поджелудочной железы, которые давят на желчевыводящие пути;
- спазм протоков;
- перекруты, перетяжки или стриктуры протоков;
- желчнокаменная болезнь;
- прочие патологии поджелудочной и печени.
Подобные причины могут провоцировать застойные процессы, которые могут приводить к двум основным состояниям.
Воспаление
В этом случае развивается холецистит в острой или хронической стадии — наблюдается воспаление стенок органа, сопровождающееся образованием гноя. Если гной полностью заполняет желчный пузырь, развивается эмпиема.
С кистой данную патологию путать не стоит, несмотря на то, что эти процессы патологически похожи, в полости органа при эмпиеме скапливается не слизистый секрет, а гной.
Увеличение желчного пузыря при отсутствии воспалительного процесса
При этом по ряду причин происходит нарушения оттока желчи. Она накапливается в полости органа, что и приводит к образованию кисты. А когда киста начинает давить на протоки, образуется киста холедоха.
Симптомы
В некоторых случаях киста холедоха никак клинически не проявляется, в других пациента может беспокоить следующее:
- постоянная или временная желтуха;
- боль в правом подреберье, которая может иметь разную интенсивность, а также постоянный или приступообразный характер;
- светлый стул, который не связан с другими заболеваниями или аллергическими реакциями;
- потемнение мочи;
- ощущение тяжести;
- диспепсические нарушения;
- привкус горечи во рту;
- изжога;
- тошнота и рвота.
Клиническая картина может становиться более яркой при употреблении алкоголя, жирных блюд, при сильных физических или психоэмоциональных нагрузках
Чаще всего кистозное образование холедоха обнаруживают при диагностике рецидивирующего панкреатита.
Диагностика
При болевых ощущениях в правом подреберье больной должен обратиться к терапевту, который после физического осмотра направит пациента к гастроэнтерологу или к хирургу.
При физическом осмотре врач обращает внимание на окраску кожных покровов и слизистых, расчесы с области поясницы, живота и груди. В некоторых случаях при пальпации может быть обнаружено образование, похожее на опухоль. Но такое возможно при более серьезном поражении.
Используются и инструментальные методики, которые могут визуализировать расширение протока. Могут быть назначены:
- УЗИ, причем такое обследование способно диагностировать патологические изменения холедоха даже у плода, находящегося в материнской утробе;
- КТ, МРТ;
- ультрасонография эндоскопом;
- интраоперационная или чрескожная холангиография;
- эндоскопическое исследование;
Также обязательны лабораторные анализы — чаще всего используется пункция с забором содержимого. При наличии кисты холедоха полученная жидкость будет темной – стерильная желчь. В острый период в общем анализе крови отмечается лейкоцитоз, а в биохимическом анализе наблюдается картина механической желтухи.
Если киста опорожняется в 12-перстную кишку, болевой синдром сразу же исчезает, также проходят появления холестаза, а показатели крови нормализуются.
Очень важно провести дифференциальную диагностику, чтобы отличить кисту холедоха от:
- кистозных образований поджелудочной – опухоли или псевдокисты;
- желчнокаменной болезни;
- дивертикул 12-перстной кишки;
- стириктур желчных протоков;
- холангиокарциномы.
Лечение
Лечение кисты холедоха возможно только хирургическим путем. Медикаментозная терапия в этом случае оказывается неэффективной.
Средства народной медицины помочь тоже не могут, пациент, который отказывается от операционного вмешательства в надежде избавиться от патологии при помощи настоев и отваров, подвергает себя риску приобрести серьезные осложнения. Задача хирурга – ликвидировать измененные протоки и реконструировать наружные протоки желчи.
Удаление кисты обязательно, так как другие операционные вмешательства (цистоэнтероанастомоз) могут спровоцировать развитие холангит, дать толчок к образованию камней, а также в разы увеличивают риск развития онкологических заболеваний.
Во время хирургического вмешательства хирурги могут использовать следующее:
- Полностью удалить кистозное образование, а оставшийся сегмент холедоха соединить с тонкой кишкой.
- Искусственно создать пути сообщения между 12-перстной кишкой и нижней частью кистозного образования. Если говорить о негативных моментах подобной реконструкции наружных протоков, возможно нарушение физиологического пассажа желчи в 12-перстную кишку. Поэтому несмотря на то что такая реконструкция более проста, радикальное удаление кисты – более предпочтительный метод.
После выписки из стационара в течение 2 месяцев пациенту рекомендуется прием Ко-тримоксазола, в дальнейшем прием лекарства может быть снижен до 2 раз в неделю сроком на полгода.
Возможные осложнения
Если киста холедоха своевременно и правильно не устраняется, она может привести к развитию осложнений:
- произойдет разрыв кисты, в результате которого все ее содержимое выльется в брюшную полость и спровоцирует сепсис;
- внутри кисты может начаться сильный воспалительный процесс, сопровождающийся образованием гноя;
- киста может переродиться в злокачественное образование;
- возможны воспалительные процессы;
- если патология будет расти, она будет оказывать давление на 12-перстную кишку, что будет способствовать кишечной непроходимости;
- нередко развивается панкреатит.
У взрослых нелеченая киста чаще всего приводит к образованию камней.
В пищеварительной системе часто происходят сбои, медицинская статистика говорит о том, что данные патологии занимают 3 место среди всех заболеваний, касающихся ЖКТ.
Причин заболеваний, которые могут возникать в билиарной системе много, а симптоматика схожа, но каждое из них имеет свои особые проявления, поэтому установить окончательный диагноз может только врач.
Поводом для обращения к врачу могут быть следующие признаки:
- Боль в подреберье с правой стороны.
- Нарушение в процессе пищеварения – снижение аппетита, рвота, нарушение стула, отрыжка. Нарушения качественного состава желчи и ее сбои при ее отделении провоцируют диспепсические расстройства, поскольку пища переваривается недостаточно хорошо, а это создает дополнительную нагрузку на другие органы пищеварительного тракта.
- Наличие желтого налета на языке. Нередко желчь через пищевод забрасывается в ротовую полость, что и приводит к образованию налета желтого цвета на языке.
- Горечь во рту тоже связана с забросом желчи.
- Желтушность кожи и слизистых является результатом попадания желчных кислот в кровяное русло.
- Обесцвечивание кала и темная моча.
Прогноз
Киста холедоха, как и большинство заболеваний билиарной системы, при адекватном и своевременном лечении имеют благоприятный прогноз.
Именно поэтому так важно не пропустить начальные признаки заболевания и вовремя обратиться за врачебной помощью.
После хирургического удаления кисты состояние пациента улучшается в течение двух недель, а чтобы снизить риск развития рецидивов, пациент должен соблюдать правила здорового образа жизни.
Что касается профилактики кисты холедоха, она состоит во внимательном отношении к своему здоровью, в регулярных плановых осмотрах и в своевременной терапии патологий желудочно-кишечного тракта, которые могут приводить к образованию патологии.
Источник: https://onkologia.ru/dobrokachestvennyie-opuholi/pischevaritelnaya-sistema/kista-holedoha/
Киста холедоха у детей

Киста во всех случаях является следствием различных заболеваний. Как самостоятельное заболевание она не развивается.
Прямой причиной кистозного образования является нарушение оттока желчного секрета. Также сказывается перенесенный холецистит, нарушающий структуру слизистой пузыря и его протоков.
Различные патологии, мешающие прохождению желчи в кишечник, провоцируют кистозное заболевание.
Факторы делятся на два вида:
- обструктивные (внутренние);
- рестриктивные (наружние).
Обструктивные причины обусловлены рядом аномалий, блокирующих отток желчи. К таким факторам относятся:
- слизистые скопления (при зауженном канале);
- наличие камней, застрявших в желчном протоке;
- песок в полости;
- новообразования в протоке и просвете ЖП, перекрывающие выход из путей;
- большое количество паразитов.
Рестриктивные причины характеризуются сдавленностью протока пузыря, сужением его просвета и заблокированному оттоку желчи. К ним относятся следующие факторы:
- новообразования брюшной полости, сдавливающие желчевыводящие каналы;
- наличие рубцов после хирургических вмешательств;
- врожденные перегибы пузырного канала;
- развитие спаек в органах брюшной полости.
Распространенной причиной патологии становятся спайки, появившиеся при сопутствующих гнойных абсцессах в брюшной полости. Организм, пытаясь избавиться от гнойного содержимого, вырабатывает фибрин – клейкое вещество, ведущее к образованию спаек. Даже небольшого их количества вокруг ЖП хватает для нарушения нормального оттока желчи.
https://www.youtube.com/watch?v=c8dvuyulHck
Часто образование спаечного процесса происходит в результате хирургических процедур.
Иногда встречается совокупность внешних и внутренних факторов, приводящих к образованию наростов.
Существуют факторы риска, нередко приводящие к аномалии:
- дисфункция ЖКТ. Развивается по причине нарушения питания, переедания, злоупотребления вредными продуктами;
- беременность. Растущая матка сдавливает органы брюшной полости;
- прием антибиотиков. Длительное употребление лекарств нарушает физиологические процессы в организме.
Простудные факторы. Способствуют увеличению лимфоузлов возле ЖП и каналов, что провоцирует сдавливание шейки пузыря.
У детей киста общего желчного протока развивается по следующим причинам:
- сужение желчевыводящих каналов;
- деформация (перетяжки и перегибы);
- врожденные патологии органов пищеварения.
Заболевание желчного канала часто протекает совместно с печеночным фиброзом или синдромом Кароли.
Классификация
Киста общего желчного протока (ОЖП) подразделяется на следующие виды:
- Тип I характеризуется смешанным или сегментарным расширением;
- Тип II – выпячивание или дивертикул;
- Тип III – холедохоцеле ОЖП, в основном, на внутренней стороне кишечника;
- Тип IV – физиологические деформации, характерные для типа I, в сочетании с кистозным наростом желчных каналов внутри печени (IVа, Кароли), либо IVб.
Под видом V подразумевают патологию Кароли.
Самая распространенная форма – внепеченочная опухоль типа I. За ней следует совокупность внутри- и внепеченочных аномалий по типу IVа.
Специалисты расходятся во взглядах относительно того, считать ли кистозным образованием или нет.
Новообразование типа I характеризуется как забрюшинная опухоль с колеблющимися размерами (от двух сантиметров до 8 литров в объеме). Она заполнена коричневой жидкостью и может разрываться.Осложнением запущенного заболевания может стать билиарный цирроз. Кистозные наросты холедоха провоцируют портальную гипертензию, вследствие сдавливания воротной вены. Также в желчных путях и в кисте не исключено развитие злокачественных опухолей.
Киста холедоха у детей что можно есть

Основанием для выявления кисты служат жалобы больного или приступы панкреатита невыясненного происхождения. При осмотре доктор может заметить желтушность кожного покрова и склер и пальпировать опухолевидное новообразование в правом подреберье.
Это осуществляется при помощи следующих диагностических исследований:
- УЗИ (трансабдоминальная ультрасонография), которая эффективна, однако не всегда позволяет с точностью определить размер кисты;
- эндоскопическая ультрасонография, которая дает возможность визуализировать протоки желчного пузыря и не имеет чувствительности к помехам в форме подкожного жира или газообразования;
- динамическая холесцинтиграфия, которая проводится с помощью радиофармпрепарата, и имеет 100%-ную эффективность при кистах первого типа, однако не в состоянии визуализировать внутрипеченочные деформации. Показана младенцам для выявления первичных нарушений протоков;
- КТ, которая опережает УЗИ по информативности и дает возможность исключить злокачественные процессы;
- Чрезкожная, интраоперационная и ретроградная эндоскопическая холангиография – помогают получить информацию о структуре желчных путей, в том числе перед хирургическим вмешательством. Минусами данного исследования являются инвазивность, противопоказания и осложнения, а также необходимость в проведении общей анестезии (при обследовании у ребенка);
- Магнитно-резонансная холангиопанкреатикография – наиболее эффективна в выявлении новообразований холедоха, проста в проведении, неинвазивна, в чувствительности несколько уступает ЭРХПГ.
https://www..com/watch?v=upload
В целом, начинаются диагностические мероприятия с УЗИ, а далее обследование зависит от разновидности кисты, технического оснащения медицинского учреждения и сложности предстоящего оперативного лечения.
При болевых ощущениях в правом подреберье больной должен обратиться к терапевту, который после физического осмотра направит пациента к гастроэнтерологу или к хирургу.
При физическом осмотре врач обращает внимание на окраску кожных покровов и слизистых, расчесы с области поясницы, живота и груди. В некоторых случаях при пальпации может быть обнаружено образование, похожее на опухоль. Но такое возможно при более серьезном поражении.
Используются и инструментальные методики, которые могут визуализировать расширение протока. Могут быть назначены:
- УЗИ, причем такое обследование способно диагностировать патологические изменения холедоха даже у плода, находящегося в материнской утробе;
- КТ, МРТ;
- ультрасонография эндоскопом;
- интраоперационная или чрескожная холангиография;
- эндоскопическое исследование;
Также обязательны лабораторные анализы — чаще всего используется пункция с забором содержимого. При наличии кисты холедоха полученная жидкость будет темной – стерильная желчь. В острый период в общем анализе крови отмечается лейкоцитоз, а в биохимическом анализе наблюдается картина механической желтухи.
Если киста опорожняется в 12-перстную кишку, болевой синдром сразу же исчезает, также проходят появления холестаза, а показатели крови нормализуются.
Очень важно провести дифференциальную диагностику, чтобы отличить кисту холедоха от:
- кистозных образований поджелудочной – опухоли или псевдокисты;
- желчнокаменной болезни;
- дивертикул 12-перстной кишки;
- стириктур желчных протоков;
- холангиокарциномы.
Виды и факторы развития данной патологии
Классификация кист холедоха у взрослых и детей на приобретенные и врожденные считается спорной, поскольку ряд научных исследователей относят все такие новообразования к первичным, другие – допускают приобретенные виды кист.
- тип 1 – киста характеризуется расширением общего протока (диффузным), либо одного из его сегментов (сегментарным, как правило, в месте перегиба), в целом имеющим веретенообразную форму;
- тип 2 – дивертикул холедоха, который имеет вид отдельного пузырька;
- тип 3 – дивертикул дистальных отделов общего протока;
- тип 4 – идентичен первому, однако дополнен кистозными формированиями внутри печеночных протоков;
- тип 5 – общие протоки почти неизменны, внутрипеченочные имеют некоторые кистозные аномалии;
- FF – тип, который характеризуется малосущественным изменением холедоха и кистозными внутрипеченочными поражениями.
Наиболее распространенные кисты
Наиболее распространены кисты 1 и 4 типов. Стенки патологического формирования образованы соединительной (фиброзной) тканью. Клеток гладких мышц и эпителия она не имеет. Изнутри такая полость заполнена коричневатой жидкостью, первоначально стерильной.
У взрослых симптоматика зачастую сочетается с некоторыми осложнениями патологического процесса (застои желчи, конкременты в желчном пузыре, инфекции и воспалительные явления). Она включает:
- постоянную или эпизодическую боль в животе;
- лихорадку;
- тошноту и рвоту;
- механическую желтуху.
Такие же признаки, которые часто дополняются потерей веса, могут говорить о злокачественной трансформации кисты.
Предлагаем ознакомиться: Цинковая мазь можно ли беременным
Основные причины данной патологии
Среди множества предположений о причинах возникновения кист холедоха можно выделить две главных:
- Все кисты 1 и 4 типов обусловлены проникновением в холедох панкреатических ферментов, которые вызывают воспаление и слабость стенок, а повышенное давление в протоке усугубляет ситуацию.
- Киста холедоха в детском возрасте может быть врожденной или приобретенной (круглой или веретенообразной), у взрослых пациентов вторичный характер носят все патологические формирования.
Таким образом, кисты во взрослом возрасте могут развиваться на фоне:
- аномального соединения протоков;
- повреждения путей при холелитиазе;
- дисфункциях сфинктера Одди.
В пользу врожденного характера возникновения кист свидетельствуют сопутствующие кисты общего протока, атрезии двенадцатиперстной кишки и иные патологии, возникающие во внутриутробном периоде.
Клинические симптомы при этом недуге
Киста холедоха в 70% диагностируется у детей до 12 лет. Также данное заболевание в несколько раз чаще наблюдается у женщин.
У младенцев вариативность проявлений патологии заметна сильнее. Иногда признаки заболевания могут отсутствовать, а в некоторых случаях можно обнаружить признаки продолжительного застоя желчи и пальпируемое новообразование. К другим признакам относятся:
- желтушность кожных и слизистых покровов;
- светлый стул;
- моча темного цвета;
- тяжесть или боли в правом подреберье, которые могут усиливаться до колики и отдавать в правую часть туловища.
У детей при кисте холедоха в старшем возрасте могут появляться следующие симптомы:
- желтуха – в виде приступов или постоянная;
- боли в животе;
- пальпируемое новообразование в брюшной полости.
Нужна ли операция при кисте холедоха у детей и взрослых?
Нормализовать отток желчи при формировании патологии возможно исключительно хирургическим путем. Существуют три варианта оперативных вмешательств:
- Создание искусственного анастомоза патологического образования с двенадцатиперстной кишкой, без резекции кистозной полости – наименее радикальная методика, минусами которой являются вероятность развития послеоперационных осложнений, обострений и онкологического перерождения тканей.
- Полное иссечение новообразования с последующим соединением с тонкой кишкой. Такая операция может проводиться полостным или лапароскопическим методом.
- Наружный желчный дренаж, который используется только в исключительных случаях и является дополнительной мерой, улучшающей самочувствие больного перед оперативным вмешательством.
https://www..com/watch?v=ytabout
Какой бы метод операции при кисте холедоха не был избран, возникновение осложнений зависит главным образом от выявленной стадии патологического процесса. Поэтому при наличии симптоматики с диагностикой кисты и оперативным лечением медлить не стоит.
Источник: https://one-zdorov.ru/kista-kholedokha-detey-mozhno-est/
Киста холедоха у детей: симптомы, диагностика, лечение, осложнения

Киста холедоха у детей является патологическим образованием, которое развивается в желчном протоке. По большому счету, она является растяжением этого протока. Подобное новообразование имеет форму мешковитого расширения.
Главный фактор, из-за которого происходит формирование аномалии – это отсутствие должного развития мышц, находящихся в стенках протока. Если по-простому, то данной аномалией, является патология желчного протока, за счет которой происходит его расширение в одном месте.
В результате это расширение имеет форму мешочка.пе
Виды патологии
Всего же бывает несколько типов кисты холедоха:
- Врожденная, формирующаяся еще во внутриутробный период;
- Приобретенная, которая появляется в процессе жизни.
И как понятно из определений, возникают такие аномалии по разным причинам.
Так, если говорить о врожденной, то они появляется из-за дефектов эмбрионального развития, хотя полностью этот вопрос еще не изучен, а что касается приобретенной, то в этом случае все гораздо проще.
Так, фактором, который провоцирует формирование у детей данной патологии, является переизбыток агрессивных ферментов, вырабатывающихся поджелудочной железой. Попадая в протоки, они негативно воздействую на его стенки.
Осложнения
Подобное заболевание, если его своевременно не начать правильно лечить, может привести к развитию большого количества различных осложнений. Это в свою очередь может иметь для организма ребенка весьма негативные последствия. Таковыми могут быть:
- Разрыв образования кистозного типа, за счет чего его содержимое будет устремлено наружу;
- Внутри патологии может начаться гнойный процесс;
- Возможно озлокачествление кистозного образования;
- Аномалия может привести к развитию воспаления в желчном протоке;
- В случае роста патологии, она будет сдавливать двенадцатиперстную кишку, что в свою очередь станет причиной кишечной непроходимости;
- Из-за кисты может развиться панкреатит.
Что может врач
Чаще всего лечение проводится за счет одного из двух оперативных методов:
- Первый заключается в проведении полного иссечения кисты, через операцию лапароскопическая холецистэктомия;
- Второй состоит в том, чтобы провести соединения нижней части образования искусственным образом в с двенадцатиперстной кишкой.
Наиболее простым вариантом, которым лечится киста холедоха, является второй способ, но в более чем половине случаев, это приводит к развитию осложнений у ребенка.
К тому же, за счет этой операции не снижается шанс преобразования кисты в злокачественную опухоль. Из-за этого наиболее предпочтительным является описанный в первом случае вариант лечения.
Это обусловлено его менее травматичным для организма воздействием и снижением шанса не только развития рака, но и иных серьезных последствий.
Источник: https://kistaplus.ru/u-detey/kista-holedoha-u-detej.html
Киста холедоха: причины появления, симптомы, виды обследования, удаление, лечение и рекомендации врачей

Киста холедоха является патологически растянутым участком желчного протока, напоминающим мешочек. Является ли данная патология только врожденной (первичной) или может иметь приобретенную форму – однозначного мнения по этому поводу нет до сих пор.
Данная разновидность патологического новообразования встречается не очень часто, однако исключить ее как причину возникновения неприятных симптомов у взрослых и детей не стоит, так же, как и подвергать себя вероятности развития осложнений, среди которых – воспаление поджелудочной железы и разрыв кистозной полости.
Проявления кист у взрослых людей
У взрослых симптоматика зачастую сочетается с некоторыми осложнениями патологического процесса (застои желчи, конкременты в желчном пузыре, инфекции и воспалительные явления). Она включает:
- постоянную или эпизодическую боль в животе;
- лихорадку;
- тошноту и рвоту;
- механическую желтуху.
Такие же признаки, которые часто дополняются потерей веса, могут говорить о злокачественной трансформации кисты.
Методы диагностики данной патологии
Основанием для выявления кисты служат жалобы больного или приступы панкреатита невыясненного происхождения.
При осмотре доктор может заметить желтушность кожного покрова и склер и пальпировать опухолевидное новообразование в правом подреберье.
Далее необходимо дифференцировать кистозное формирование холедоха от холелитиаза, стриктуры, кист поджелудочной или онкологической опухоли протока.
Это осуществляется при помощи следующих диагностических исследований:
- УЗИ (трансабдоминальная ультрасонография), которая эффективна, однако не всегда позволяет с точностью определить размер кисты;
- эндоскопическая ультрасонография, которая дает возможность визуализировать протоки желчного пузыря и не имеет чувствительности к помехам в форме подкожного жира или газообразования;
- динамическая холесцинтиграфия, которая проводится с помощью радиофармпрепарата, и имеет 100%-ную эффективность при кистах первого типа, однако не в состоянии визуализировать внутрипеченочные деформации. Показана младенцам для выявления первичных нарушений протоков;
- КТ, которая опережает УЗИ по информативности и дает возможность исключить злокачественные процессы;
- Чрезкожная, интраоперационная и ретроградная эндоскопическая холангиография – помогают получить информацию о структуре желчных путей, в том числе перед хирургическим вмешательством. Минусами данного исследования являются инвазивность, противопоказания и осложнения, а также необходимость в проведении общей анестезии (при обследовании у ребенка);
- Магнитно-резонансная холангиопанкреатикография – наиболее эффективна в выявлении новообразований холедоха, проста в проведении, неинвазивна, в чувствительности несколько уступает ЭРХПГ.
В целом, начинаются диагностические мероприятия с УЗИ, а далее обследование зависит от разновидности кисты, технического оснащения медицинского учреждения и сложности предстоящего оперативного лечения.
Терапия недуга
Нужна ли операция при кисте холедоха у детей и взрослых?
Нормализовать отток желчи при формировании патологии возможно исключительно хирургическим путем. Существуют три варианта оперативных вмешательств:
- Создание искусственного анастомоза патологического образования с двенадцатиперстной кишкой, без резекции кистозной полости – наименее радикальная методика, минусами которой являются вероятность развития послеоперационных осложнений, обострений и онкологического перерождения тканей.
- Полное иссечение новообразования с последующим соединением с тонкой кишкой. Такая операция может проводиться полостным или лапароскопическим методом.
- Наружный желчный дренаж, который используется только в исключительных случаях и является дополнительной мерой, улучшающей самочувствие больного перед оперативным вмешательством.
Какой бы метод операции при кисте холедоха не был избран, возникновение осложнений зависит главным образом от выявленной стадии патологического процесса. Поэтому при наличии симптоматики с диагностикой кисты и оперативным лечением медлить не стоит.
Профилактика
Профилактические меры состоит во внимательном отношении к проблемам пищеварительного процесса и современных осмотрах у специалиста.
Очень важно также обеспечить лечение патологий ЖКТ, признаки которых могут маскировать кистозное новообразование.
Источник: https://FB.ru/article/408891/kista-holedoha-prichinyi-poyavleniya-simptomyi-vidyi-obsledovaniya-udalenie-lechenie-i-rekomendatsii-vrachey
