Особенности УЗИ на сроке беременности 12 недель – UZI.ONE Для проведения первого УЗИ 12 неделя…
Рубрика “Гинеколог”
Категория: Гинеколог
Токсикоз во втором триместре беременности: особенности, причины и последствия Второй триместр является серединой беременности, и…
Почему не приходят месячные вторник, июля 8, 2014 — 10:44 Все женщины знают, что месячные…
Беременность после кесарева: нужно ли смотреть толщину шва? После родов путем кесарева сечения начинается процесс…
Делают ли УЗИ на 5 неделе беременности? УЗИ на 4, 5, 6 акушерской неделе беременности:…
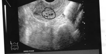
Расшифровка УЗИ малого таза у женщин Наверное, каждому посетителю кабинета УЗ-диагностики приходилось видеть на мониторе…
Желтое тело и его исследование методом УЗИ Чем больше о болезнях узнавали люди, тем более…
Особенности стимуляции овуляции Клостилбегитом Одним из методов искусственно ускорить беременность является стимуляция овуляции. Зачастую для…
Что такое цефалический индекс на УЗИ плода, как его рассчитывают и на что он влияет…
Норма, причины и лечение тонкого эндометрия. Способ забеременеть Гипоплазия — распространенная патология. Заболевание диагностируется у…










