Прогестерон 17 ОН повышен при беременности Ходила на консультацию в гинекологию и заинтересовалась вопросом, зачем…
Рубрика “Гинеколог”
Категория: Гинеколог
Дюфастон для вызова месячных: как принимать, побочные эффекты Обновление: Декабрь 2018 О состоянии репродуктивного здоровья…
Силуэт и алкоголь Рекомендация врачей однозначна: пить алкоголь с противозачаточными таблетками нельзя. Однако иногда такая…
Джес совместимость с другими препаратами Сайт предоставляет справочную информацию исключительно для ознакомления. Диагностику и лечение…
Месячные ярко красного цвета Цвет менструальной крови является показателем здоровья женщины и нормального течения цикла,…
Миома матки: размеры в неделях и сантиметрах, причины, методы лечения, отзывы 16 Сентября, 2018 Акушерство…
Как вылечить прыщи контрацептивами: препарат Белара Избавление от прыщей неспециализированными лекарственными препаратами подчас бывает неожиданно…
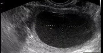
Жидкость в позадиматочном пространстве. Причины, лечение, последствия Во время проведения УЗИ малого тазау женщин может…
Как вылечить миому, деформирующую матку? Skip to content ВАЖНО ЗНАТЬ! Единственное средство от МИОМЫ и…
Боль внизу живота после секса: Основные причины, как устранить спазмы ᐈ FEMZ Получать удовольствие от…










