Задержка месячных у подростков 14-15 лет: причины Как правило, менархе (первые менструации) появляются у девушек…
Рубрика “Гинеколог”
Категория: Гинеколог
Синдром цитолиза: почему возникает, и как избавиться от патологии Синдром цитолиза – патология печени, которая…
Как забеременеть с первого раза: полезные советы по зачатию ребенка Приветствую вас, уважаемые друзья! Предлагаю…
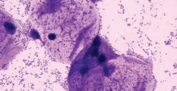
Что такое коккобациллярная флора в мазке В лабораторной диагностике применяется классификация микроорганизмов, которые можно обнаружить…
Тошнит после месячных: что это может быть, основные причины Во время менструации девушка испытывает дискомфорт….
Нет месячных после Дюфастона — это нормально? Нарушения менструального цикла нередко вызваны гормональным дисбалансом. Такое…
Трещинки на слизистой у женщин | Университетская клиника Появление болезненных трещинок в интимной зоне –…
Методы контрацепции для мужчин — обзор всех доступных способов — Новокузнецкая городская клиническая больница №…
Чем аллергический кольпит и вульвит отличается от обычного и как его лечить? Аллергический вульвит –…
Противозачаточные таблетки Новинет: инструкция по применению контрацептива Среди множества способов предохранения от беременности все большее…










