Признаки выкидыша К сожалению, не каждая беременность заканчивается рождением ребенка. Согласно медицинской статистике, около 15-20…
Рубрика “Гинеколог”
Категория: Гинеколог
Низкое предлежание плаценты при беременности чем грозит Здравствуйте! Что представляет собой плацента, я думаю, что…
Преждевременное старение плаценты на 31, 32, 33, 34, 35, 36 неделе: причины, последствия, лечение, роды…
Нашли уреаплазму Нередко в результате обследования пациент узнает, что у него нашли уреаплазму. Естественно, у…
При стимуляции овуляции можно алкоголь Фертильный период длится насколько дней. Именно в это время существует…
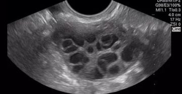
Мультифолликулярные яичники Основным механизмом нарушения фертильности при мультифолликулярных (или поликистозных) яичниках является хроническая ановуляция. Международная…
Мифепристон для подготовки шейки матки к родам: таблетки для размягчения и раскрытия Дать однозначный вопрос…
Можно ли забеременеть с низким АМГ? Наиболее частым сегодня на форумах, является вопрос, как забеременеть…
Постинор: понятная инструкция к применению | Мой Гинеколог Постинор это средство экстренной контрацепции, которое помогает…
Пупок при беременности. Уход за пупком при беременности. || Можно ли беременным чистить пупок Боль…










