Цитологическое исследование. Паракератоз плоского эпителия
Содержание
Лечение паракератоза шейки матки — Гинекология

Паракетароз — нарушение структуры слизистой оболочки шейки матки. Это серьезная патология, которую не стоит оставлять без внимания. Отсутствие лечения может привести к серьезным осложнениям и даже к развитию онкологии. Подробно знать, что это такое — паракератоз плоского эпителия шейки матки, ипричины, по которым нельзя игнорировать заболевание должна каждая женщина.
Паракетароз шейки матки: определение заболевания и его основная характеристика
Паракетароз шейки матки — патологический процесс, который развивается при наличии воспалительных процессов. Слизистая оболочка шейки матки грубеет и становится сморщенной.
Вследствие этого ткани теряют свою эластичность и травмируются. Часто это происходит во время полового акта.
Патология влечет за собой изменение морфологических характеристик слизистой в виде:
- Утолщения рогового слоя.
- Устранения зернистости.
- Возникновения палочкообразных ядер.
Паракетороз разделяют на две формы проявления:
- Поверхностная — поражает небольшой участок и не представляет серьезной угрозы.
- Очаговый паракератоз шейки матки — значительно изменяет строение клеток и поражает обширные участки тканей.
Опасность появления паракетароза
Паракетароз является предраковым состоянием и серьезно угрожает жизни женщины. Поэтому, заболевание нельзя оставлять без внимания и при обнаружении первых симптомов срочно обратиться к гинекологу.
В чем заключаются причины возникновения болезни
Также возникновению паракетароза способствуют:
- Половые инфекции.
- Гормональный сбой.
- Дисфункция яичников.
- Эрозия шейки матки.
- Аборты.
- Травмы шейки матки.
- Ослабленный иммунитет.
- Истощение организма.
- Роды.
- Хирургическое вмешательство.
- Недостаток цинка.
- Химиотерапия.
- Несоблюдение интимной гигиены.
Симптоматика
Достаточно часто заболевание протекает бессимптомно. Из-за этого болезнь выявляется на поздних стадиях развития, что способствует развитию осложнений.
Поводом для беспокойства являются такие признаки паракератоза:
- Дискомфорт во время полового акта.
- Выделения с примесью крови.
- Неприятный запах из влагалища.
Важно знать! Встречаются случаи, когда паракетароз проявляется в виде симптомов болезни спровоцировавших его развитие.
Методы диагностики
Диагностика начинается с гинекологического осмотра и сбора анамнеза. Врачу нужно сообщить обо всех перенесенных ранее заболеваниях, операциях. А также о характере и частоте сексуальной жизни.
Обязательно проводится:
- Жидкостная цитология — со слизистой оболочки шейки матки берутся образцы для анализа. Это самый точный способ для выявления патологий в клетках.
- Онкоцитология — необходима для выявления раковых клеток и новообразований.
- Кольпоскопия — позволяет определить локализацию и размер пораженных тканей.
- Гистологический анализ — проводится для обнаружения перерожденных клеток.
Для выяснения причин развития болезни проводятся анализы на наличие бактериальных и вирусных инфекций. Для обнаружения воспалительных процессов и определения уровня гормонов делается забор крови.
Следует знать! В некоторых случаях может быть назначена консультация эндокринолога и онколога.
Лечение
После получения результатов исследований и подтверждения диагноза разрабатывается план лечения паракератоза шейки матки. Он подбирается индивидуально для каждого пациента с учётом всех особенностей. Берется во внимание:
- Возраст.
- Состояние репродуктивной системы.
- Степень развития.
- Физическое здоровье.
Прежде всего устраняется причина спровоцировавшая паракетароз. Устраняются инфекции и дисбактериоз влагалища. Назначаются:
- Противовирусные.
- Противовоспалительные.
- Антисептические препараты.
Важным этапом является укрепление иммунитета. Для этого следует принимать витаминные комплексы, а также придерживаться специальной диеты. Она подразумевает употребление свежих фруктов, ягод, овощей. Рекомендуется отказаться от слишком жирной, острой и солёной пищи. А также от алкоголя и табачных изделий.
Если консервативные методы не приносят положительных результатов, принимается решение о проведении операции. Для устранения пораженных участков может быть выбран один из методов:
- Лазерная вапоризация — пораженные участки испаряются под воздействием лазерного луча.
- Диатермокоагуляция — подразумевает прижигание ороговевшей слизистой при помощи переменного тока.
- Конизация — удаление ороговевших тканей хирургическим скальпелем.
Риски развития тяжёлых последствий
Отсутствие лечения может повлечь за собой серьезные осложнения. Самым опасным считается неоплазия, это предраковое состояние. Риск развития онкологии очень велик.
Паракетароз негативно влияет на репродуктивную функцию и может стать причиной бесплодия.
- Также стоит обратить внимание: что такое мастодиния молочных желез и насколько серьезной является патология.
- Может ли женщина с диагнозом моносомия родить ребенка, информация по ссылке.
Принимать ли ванну во время месячных: venerolog-ginekolog.ru/gynecology/menstruation/vanna-pri-mesyachnyih.html.
Паракетароз шейки матки и беременность
Прогрессирование заболевания препятствует зачатию. Но если женщина уже беременна, то роды могут привести к разрывам тканей, так как они теряют свою эластичность.
Если причиной паракетароза является гормональный дисбаланс, то вероятнее всего произойдет выкидыш.
Чтобы не допустить такого развития событий, нужно ответственно подходить к вопросу планирования беременности. Предварительно нужно сдать необходимые анализы и вылечить все имеющиеся заболевания.
Профилактические меры
Для того, чтобы избежать развития заболевания, следует придерживаться некоторых рекомендаций:
- Заниматься только защищённым сексом.
- Соблюдать интимную гигиену.
- Не принимать ванну с горячей водой.
- Не злоупотреблять спиртными напитками и табачными изделиями.
- Регулярно посещать гинеколога.
- Употреблять продукты содержащие цинк.
Важно! Необходимо обязательно сделать прививку от вируса папилломы человека.
Своевременное выявление патологии позволяет подобрать необходимый метод лечения и избежать серьезных осложнений. Поэтому, необходимо регулярно осуществлять профилактический гинекологический осмотр.
Почему важно проходить диагностику и своевременное лечение заболеваний шейки матки, подробно на видео:
Источник:
Паракератоз шейки матки, что это такое?
Паракератозом называют нарушения ороговения эпителиального слоя эпидермиса или слизистой выстилки органа. Именно поэтому возникает как в ротовой полости, так и в шейке матки. Паракератоз, акантоз и гиперкератоз шейки матки часто наблюдается параллельно и являются признаками развития лейкоплакии матки.
Паракератоз — это не диагноз, то есть не заболевание, а изменение слизистого слоя, сопутствующее какому-то патологическому процессу в шейке матки. Часто возникает на фоне травматичных медицинских манипуляций и хронических инфекций.
Общая характеристика
Паракератоз можно описать как неполное ороговение. Развивается он как следствие нарушения (снижения) выработки кератогиалина (предшественника кератина). Характеризуется нарушением морфологии слизистой оболочки:
- Утолщением рогового слоя.
- Отсутствием зернистого слоя.
- Присутствием в клетках рогового слоя палочковидных ядер.
При этом пораженный участок цервикса выглядит сморщенным из-за нарушения эластичности ткани. Такие островки более грубые. И так как способность их растягиваться минимальна, часто повреждаются. Например, в процессе полового акта.
Гиперкератоз шейки матки — это усиленное ороговение верхнего слоя ее слизистой оболочки, состоящего из плоского эпителия. Иногда ороговевшие участки слизистой состоят из нескольких десятков неслущившихся слов. В его возникновении могут быть задействованы 2 механизма:
- Чрезмерный синтез кератина с утолщением зернистого и шиповатого слоя эпителия.
- Истончение зернистого и шиповатого слоев с недостаточным их отшелушиванием.
В процессе ороговения слизистая выстилка органа, в норме гладкая и розовая, покрывается белесоватыми плотными, слегка выступающими над поверхностью здоровой ткани структурами.
Паракератоз встречается реже, чем гиперкератические изменения. Оба нарушения редко диагностируют как самостоятельные проявления. Обычно их вместе с акантозом относят к признакам лейкоплакии. Акантоз — это нарушение (утолщение) слизистой оболочки цервикса, сопровождающееся удлинением межсосочковых отростков.
Визуально лейкоплакия выгладит как образование бляшек белесого цвета на слизистой влагалищной зоны шейки матки (экзоцервиксе), реже в эндоцервиксе (в глубине цервикального канала). Заболевание чаще встречается у женщин, по возрасту способных к деторожднению.
Его коварство заключается в том, что грубые (пролиферативные) формы лейкоплакии охотно трансформируются в злокачественные опухоли. В этом случае нарушается дифференцировка тканей, обнаруживается появление измененных элементов в тканях не только верхнего слоя слизистой, но и парабазального, и базального слоев.
Диагноз формулируют как дисплазию тканей шейки матки и предлагают лечение.
Ради справедливости следует заметить, что нежная, или простая лейкоплакия, выражающаяся лишь гипер-, паракератозом не склонна к озлакачествлению. При диагностировании такого развития патологии пациентке рекомендуется лишь постоянное наблюдение у гинеколога.Причины заболевания могут быть внешними (эндогенными) или внутренними (экзогенными). К внешним относят:
- Частое хирургическое прерывание беременности.
- Неправильная установка механических средств контрацепции (спиралей).
- Диагностические выскабливания (чистка).
- Разрушающие методы лечения эрозии (прижигание, диатермокоагуляция).
- Неразборчивый и грубый секс.
- Вирусные и бактериальные инфекции, передающиеся половым путем. Чаще всего это фоновые болезни: уреа-, микоплазмоз, герпес- и папилломовирусные инфекции, хламидиоз, протекающие в хронической форме.
- Неспецифические экзо- и эндоцервициты и вагиниты.
- Эктопии склонные к рецидивам и т. д.
Дополнительными факторами, усугубляющими влияние основных, являются: снижение общей резистентности организма, длительные заболевания, истощающие организм, голодовки, переутомление физическое и эмоциональное, экология.
К внутренним факторам относят нарушение работы гипофизарно-гипоталамарной системы и яичников. В результате ановолуции, абсолютной или относительной гиперэстрогении, недостатка прогестерона появляется склонность к гиперпластическим изменениям в женских половых органах.
Все описанные факторы даже по отдельности могут запустить механизмы кератинизации (гиперкератоз) и нарушение кератинизации (паракератоз) эпителия цервикса. В норме многослойный эпителий в области шейки матки вообще ороговевать не должен.
Но в результате целого ряда нарушений образуются роговые, не содержащие гликоген, чешуйки (гиперкератоз). И участки малоэластичной ткани (паракератоз).
Очаги могут быть мелкими и единичными или множественными, сливаясь в большие измененные области.
Симптомы
Чаще всего пара- и гиперкератоз шейки матки никак себя не проявляют или протекают с минимальной симптоматикой, которую женщина игнорирует, как незначимую.
Иногда симптомы паракератоза незаметны на фоне проявлений основного заболевания (воспаления, хронической бактериальной, грибковой или вирусной инфекции).
Эти заболевания протекают с выраженными болью и зудом, и слабые симптомы гипер- и паракератоза за ними трудно заметить.Выявляются изменения чаще всего в процессе планового осмотра гинекологом. При массированных изменениях могут быть следующие симптомы:
- Дискомфорт в процессе полового сношения
- Появления после секса небольшого количества крови.
- Чуть более обильное выделение вагинального секрета с непривычными и неприятным запахом.
Заметить подобные изменения самостоятельно практически невозможно. Поэтому женщина и рекомендован ежегодный гинекологический осмотр в клинике.
Источник: https://cmsch71.ru/molochnitsa/lechenie-parakeratoza-shejki-matki.html
Паракератоз шейки матки

Высокая частота заболеваний цервикса связана с анатомическими и физиологическими особенностями этой части репродуктивной системы. В шейке происходит разграничение эпителия матки и влагалища. В этой зоне могут развиваться патологические процессы изменения клеток, провоцирующие развитие предраковых состояний. К таковым относится паракератоз шейки матки.
Паракератоз шейки матки: что это такое?
В норме плоский эпителий представлен несколькими слоями, в которых постоянно происходят процессы обновления. При нарушении морфологии, происходят сбои слущивания клеток и заменой их новыми.
Паракератозом называют неполное ороговение в области шейки матки многослойного поверхностного эпителия. На поверхностном слое появляется ряд уплощенных клеток, под которыми отсутствует кератогиалиновый слой.
Так как ороговевшие клетки не отшелушиваются в цервикальном канале, происходит их наслаивание. В результате образуются плотные неэластичные ороговевшие участки. Патологическое состояние не относится к самостоятельным заболеваниям.
Выделяют 2 вида ороговения клеток:
- Очаговый. Участок ороговения имеет четкую границу, инвазивный характер с ярко выраженными морфологическими изменениями клеток. Представляет опасность, так как именно при этом поражении увеличивается риск перерождение клеток.
- Поверхностный. В патологический процесс вовлекается небольшой участок эпителиального слоя цервикса. Не имеет инвазивный характер.
Основные причины развития патологии
Гиперпластические процессы происходят во всех возрастных периодах женщины. В развитии патологического ороговения эпителия играют роль:
- воспалительные процессы бактериального генеза;
- вирусные болезни: папилломы, герпес, цитомегаловирус;
- раннее начало половой жизни;
- травмы шейки: аборты, выскабливания, роды, манипуляция по установлению внутриматочного контрацептива (спирали), оперативные вмешательства, грубый секс;
- гормональные нарушения: недостаточная секреция прогестерона и повышенный уровень эстрогена, менопауза;
- рецидивирующие эрозии;
- травматические методы лечения эрозий (прижигания);
- нарушение функций яичников;
- инфекции, передающиеся половым путем: хламидии, уреаплазма, трихомонады, ВИЧ;
- неадекватная стероидная контрацепция;
- иммунные нарушения;
- болезни гипофиза.
К провоцирующим факторам относятся стрессовые ситуации, переутомления, недостаточность цинка, нарушение гигиены.
Признаки паракератоза и особенности клинической картины
Гиперпластические изменения, как правило, длительно протекают бессимптомно. Снижение эластичности тканей цервикса приводит к возникновению следующих симптомов:
- дискомфорт при половых контактах;
- незначительное выделение крови из влагалища после полового акта;
- гиперсекреция вагинальной смазки;
- неприятный запах выделений.
Иногда пациентки предъявляют жалобы на зуд и жжение. Клиническая картина не имеет характерных симптомов. Такие признаки сопровождают многие гинекологические патологии. Для подтверждения диагноза пациентам назначают лабораторные и инструментальные методы исследования.
Диагностика при паракератозе
Во время гинекологического осмотра врач может обнаружить видоизменение эпителия цервикса. Нередко гиперпластические процессы происходят на фоне воспалительных заболеваний. Чтобы выяснить точную причину, назначают процедуры:
- Жидкостная цитология. Пациенткам проводят забор биологического материала с последующим посевом, окрашиванием, дисперсией и перемешиванием. В ходе исследования оценивают эпителиальные клетки. Процедура помогает выявить рак шейки матки.
- Онкоцитология позволяет выявить наличие доброкачественных и злокачественных опухолей.
- Кольпоскопия в расширенном формате. Проводят при помощи кольпоскопа.
Во время обследования выявляют следующие характерные признаки:
- отсутствие зернистого слоя;
- уплотнение рогового слоя;
- появление в клетках палочковидных ядер.
При прогрессировании гиперплазии врач выявляет значительное снижение эластичности ткани и участки, которые имеют сморщенный огрубевший вид.
Пациенткам могут назначить также:
- пробу Шиллера для выявления патологических участков цервикса;
- исследование мазков на наличие патогенной флоры;
- серологические исследования на ИППП;
- исследования гормонального фона;
- кровь на ВИЧ, сифилис.
По результатам исследований и тестов определяют причину изменения ткани, а также степень их вовлечения в патологический процесс.
Медикаментозное лечение
При подтверждении диагноза и установлении причин назначают лечение, которое направлено на устранение патологических клеток. Параллельно проводится терапия первопричины. Пациенткам назначают иммуностимуляторы, гормональные препараты, противовирусные средства, антибиотики или противогрибковые лекарства по показаниям.
При незначительных изменениях эпителия женщинам прописывают вагинальные суппозитории (таблетки) с антибактериальным, противопротозойным и антимикотическим действием. К таким препаратам относятся:
- Метромикон Нео с метронидазолом и миконазолом;
- Микожинакс;
- Полижинакс;
- Клион-Д;
- Вагисепт;
- Вагиферон;
- Гинокапс;
- Метровагин;
- Метровит.
Для устранения воспаления назначают нестероидные противовоспалительные препараты:
- Либерум;
- Адвил Ликви-джелс;
- Дексалгин;
- Брустан;
- Диклофенак;
- Долар.
При вирусной этиологии паракератоза применяют лекарства:
- Видекс;
- Рибавирин;
- Арвирон;
- Нелфинавир;
- Вирасепт;
- Ацикловир.
При бактериальных инфекциях назначают:
- цефалоспорины;
- Мепенем;
- Гримипенем;
- Ампициллин;
- Амоксиклав;
- Аугментин;
- Макокс;
- Тиментин;
- Сантаз.
Гормональные препараты назначают в виде мазей, эмульсий, вагинальных суппозиториев. Наиболее часто применяют Овестин, Овипол Клио, Орниона, Фемафлор, Триожиналь, Эстриол. Препараты содержат эстроген. Гормональная терапия проводится под кольпоскопическим и цитологическим контролем.
Лекарственные средства, схемы лечения и дозировки подбирает только врач с учетом состояния пациентки, сопутствующих болезней и побочных эффектов препаратов. Самолечение недопустимо.
В качестве дополнительного метода могут назначать фитотерапию. Пациенткам прописывают спринцевания отварами лекарственных трав с противовоспалительным эффектом (ромашка, календула, зверобой, бадан, тысячелистник). Отвары рекомендуют использовать для подмывания.
Пациенткам показана молочно-растительная диета с исключением острых блюд, выпечки из дрожжевого теста, сладостей. Для улучшения трофических процессов назначают ультразвук. При отсутствии эффекта консервативного лечения назначают хирургические методы с целью устранения пораженных участков.
Устранение очагов паракератоза
В зависимости от размеров и локализации пораженного эпителия выбирается методика хирургического устранения очагов паракератоза. К наиболее эффективным способам относятся:
- Конизация шейки матки. В процессе операции удаляется участок слизистой с паракератозом с захватом здоровых тканей. Применяют лазерную, радиоволновую и криоконизацию. Последние два метода проводят под местной анестезией. В некоторых клиниках используют канизизацию с использованием скальпеля.
- Лазерная вапоризация шейки матки. Относится к малоинвазивным вмешательствам. Метод позволяет удалить пораженные ткани и предотвратить дальнейшее повреждение эпителия.
- Аргоноплазменная коагуляция шейки. Под воздействием радиоволн с содержанием аргона обрабатываются пораженные ткани цервикса. В результате происходит процесс закипания внутриклеточной жидкости с последующей коагуляцией.
- Криодеструкция цервикса. Операция прижигания жидким азотом относится к малоинвазивным. Кратковременное воздействие низких температур устраняет пораженные ткани, улучшает капиллярный кровоток, восстанавливает здоровые клетки эпителия.
- Диатермокоагуляция цервикса. Дефект устраняют с помощью прижигания под воздействием электрического тока. Метод устаревший, имеет много осложнений, в частности, эндометриоз.
При выборе наиболее эффективной методики учитывают возраст пациентки, состояние репродуктивной системы. В случае, когда женщина еще планирует рожать, предлагают наиболее щадящие хирургические вмешательства.
Если в процессе диагностики и лечения у пациентки выявлен процесс озлокачествления клеток, назначают химиотерапию и хирургическое иссечение патологического участка.
Прогнозы и возможные осложнения
Паракератоз шейки является характерным признаком лейкоплакии – изменение тканей цервикса с пролиферацией и ороговением многослойного эпителия. Заболевание относится к предраковым состояниям. При поздней диагностике паракератоз переходит в гиперкератоз, который может переродиться в плоскоклеточный рак.
Прогрессирование патологии может препятствовать зачатию и осложнять течение беременности родов. Из-за плохой эластичности тканей во время родоразрешения возможны кровотечения. Гормональные сбои могут приводить к выкидышам.
Своевременное лечение хирургическими методами имеет благоприятный прогноз для пациентки. При выявлении изменения тканей в начальной стадии адекватная консервативная терапии с выполнением рекомендаций гинеколога приводит к полному излечению пациентки.
Заключение
Неполное ороговение эпителия является всего лишь симптомом, за которым могут скрываться предраковые заболевания. Так как состояние зачастую протекает бессимптомно, женщинам надо следить за своим здоровьем. Консультация гинеколога, прохождение обследований, своевременное лечение первичных болезней в большинстве случаев исключает риск возникновения паракератоза цервикса.
Источник: https://cervix-heal.ru/rak-matki/parakeratoz-shejki-matki.html
Лечение и диагностика паракератоза

Паракератоз шейки матки – состояние, которое проявляется патологическим ороговением покровного эпителия цервикса.
Для здорового органа такое явление не характерно, относительным исключением можно считать псевдопаракератоз, при котором ороговевшие клетки могут появляться как результат дегенеративных процессов в эндоцервикальных мазках во второй половине цикла, а также в постменопаузальный период.
Регулярные визиты к врачу позволят выявить патологию на ранней стадии
А что такое паракератоз с точки зрения этиологии? Эта патология рассматривается как следствие активных воспалительных процессов, а также травмирования цервикального канала во время родов, абортов, оперативных вмешательств. Нужно обратить внимание, что это состояние является фоновым, то есть при некоторых обстоятельствах может спровоцировать диспластические изменения в тканях, что грозит онкопатологиями. Поэтому при выявлении паракератоза должны быть немедленно предприняты терапевтические меры.
Как проявляется паракератоз
По сути паракератоз является сбоем в процессе ороговения слизистой оболочки цервикального канала. Состояние не представляет собой самостоятельную болезнь, оно является симптомом какой-либо патологии цервикса.
Паракератоз проявляется неполным ороговением, но при отсутствии адекватной терапии может трансформироваться в гиперкератоз, то есть усиленное ороговение. В этом случае верхний слой слизистой выстилки шейки ороговевает, а очаги патологического процесса по структуре представляют собой несколько эпителиальных слоев, не подвергшихся слущиванию.
Как паракератоз, так и гиперкератоз характеризуются такими признаками:
- зернистый слой отсутствует;
- роговой слой утолщен;
- в клетках выявляются палочковидные ядра.
Прогрессирование патологического процесса провоцирует снижение эластичности тканей, при этом очаги поражения имеют огрубевший, сморщенный вид.
Паракератоз является характерным признаком такого заболевания, как лейкоплакия шейки матки. Его определяют как предрак, поэтому выявление этой болезни требует незамедлительного начала лечения.
Различают два типа паракератоза: очаговый и поверхностный. Поверхностный вариант предполагает вовлечение небольшого участка эпителия в процесс, при этом отсутствует инвазивный характер. Эта разновидность патологического состояния нуждается в наблюдении, но редко представляет опасность.
Короткая шейка при беременности: причины и последствияОчаговый паракератоз является опасным явлением. При этом очаги поражение обладают четкими границами, изменение структуры клеток ярко выражено. Состояние требует лечения. Именно очаговый паракератоз и является симптомом лейкоплакии.
Кроме того, очаговый вариант состояния характерен и для диспластических повреждений. При цервикальной интраэпителиальной неоплазии (CIN) в начальной и поздней стадии определяются участки с паракератозом.
Визуально патологические очаги определяются как плоские пятна белого цвета, имеющие матовый отлив. Частое место локализации – слизистая влагалищной порции цервикса, редкое – глубина шеечного канала. Наиболее подвержены прогрессированию состояния женщины в детородном возрасте.
Причины развития кератоза
Вирус папилломы человека
Основной этиологический фактор паракератоза – присутствие в организме вируса папилломы человека, относящегося к высокоонкогенному типу. Активация инфицирования этим вирусов провоцирует клеточные изменения в форме патологического и избыточного ороговения, нарушенной структуры ядерного аппарата клеток (множественные ядра, койлоцитоз).
Способствуют прогрессированию состояния также и некоторые другие факторы, а именно:
- травматизация цервикса в ходе родов, абортов, выскабливания, установки внутриматочной спирали, других манипуляций;
- терапия эрозии шейки матки;
- воспалительные заболевания, в том числе и спровоцированные инфекциями, передающимися половым путем;
- гормональный дисбаланс (недостаточная выработка прогестерона);
- дисфункции яичников;
- наличие очагов эктопии.
Конкретная причина определяется в ходе полного обследования пациентки.
В качестве дополнительных провокаторов патологии рассматриваются:
- ослабленная иммунная система;
- истощение нервной системы;
- переутомление организма;
- сниженная сопротивляемость.
Симптомы кератоза
Паракератоз и гиперкератоз зачастую протекают бессимптомно, в результате женщина может и не знать о существовании проблемы. Поэтому так важны регулярные профилактические осмотры, которые помогают выявлять патологии, протекающие без симптомов или с малым их количеством.
В ряде ситуаций симптоматика может быть стерта из-за наличия активных симптомов провоцирующей патологии, чаще всего – инфекционно-воспалительного характера.
Заподозрить проблему позволяют такие проявления:
- дискомфортные ощущения во время полового контакта;
- кровянистые выделения в небольшом объеме после секса;
- избыточное образование вагинального секрета, который может иметь неприятный запах.
Почему появляется цервикоз шейки матки, что это и как его лечить
Наличие таких симптомов должно стать поводом для обязательного обращения к гинекологу. Врач проведет осмотр, назначит дополнительные диагностические меры, поставит диагноз и определит направление курса терапевтической коррекции.
Методы диагностики гиперкератоза
Гистологическое изучение биоптата – важный этап диагностики
Помимо гинекологического осмотра могут понадобиться такие меры диагностики:
- Проба Шиллера.
- Кольпоскопия в расширенном формате.
- Биопсия с последующим гистологическим изучением биоматериала.
- Исследование мазков на флору.
- Исследование крови и выделений на инфекции, которые передаются половым путем, в том числе и на вирус папилломы человека.
- Анализ гормонального фона.
- Анализ иммунного статуса.
Результаты перечисленных диагностических методик позволят врачу поставить диагноз и определить тактику лечения.
Как лечить паракератоз
Если выявлен паракератоз шейки матки, лечение должно подбираться в индивидуальном порядке, исходя из особенностей конкретного клинического случая. Берется во внимание степень патологического процесса, возраст пациентки и общее состояние ее здоровья. Самолечение недопустимо и невозможно, состояние должно подвергаться коррекции по назначениям и под наблюдением врача.
Консервативная терапия предполагает устранение провоцирующего проблему фактора. Назначается лечение бактериальных, вирусных инфекционных заболеваний, дисбактериоза влагалища. Предпринимаются меры для улучшения функционирования иммунной системы.
Хирургическая коррекция предполагает удаление очагов патологии. Конкретная методика определяется согласно размерам и локализации участков паракератоза. В спектр возможных методов включены такие:
Инвазивные методики целесообразны в случае большой распространенности процесса и наличия неопластических изменений.
Для предупреждения паракератоза рекомендуется регулярно посещать врача с профилактическими целями. Также рекомендована вакцинация против папилломавирусной инфекции.
Подробнее о патологии на видео:
Источник: https://shejka-matki.ru/zabolevaniya-shejki-matki/parakeratoz-shejki-matki.html
Паракератоз — это ороговение слизистого слоя шейки матки: причины, симптомы, диагностика и лечение

Паракератоз — это состояние, при котором наблюдаются патологические изменения эпителиальных тканей, в частности их ороговение. Как известно, практически все органы имеют в своем составе слой эпителия.
И в современной гинекологии довольно часто регистрируется такой недуг, как паракератоз шейки матки.
Что это такое? Какими симптомами сопровождается? Стоит ли беспокоиться по этому поводу? Какие методы лечения может предложить гинеколог? Ответы на эти вопросы ищут многие женщины.
Диагностические мероприятия при паракератозе
Паракератоз — это патология со смазанной клинической картиной. Для того чтобы точно определить болезнь, необходимо провести тщательную диагностику.
- Для начала проводится опрос пациентки, врач собирает анамнез.
- Далее необходим гинекологический осмотр. Во время процедуры специалисту, как правило, удается обнаружить участки с измененными тканями — они выглядят как округлые бляшки с уплотнениями или ороговевшими чешуйками.
- У женщин также берется соскоб для дальнейшего цитологического исследования тканей. Под микроскопом специалист может заметить патологические изменения эпителия.
- К сожалению, обычный соскоб не позволяет проверить состояние клеток из более глубоких слоев слизистой оболочки. Именно поэтому врачи рекомендуют биопсию — только так можно обнаружить злокачественное перерождение тканей (если оно имеет место).
- Информативной является и кольпоскопия. Во время процедуры врач может точно определить объем поражения тканей, выяснить локализацию очагов паракератоза.
- Во время кольпоскопии проводится также йодная проба, при которой врач наносит на ткани раствор йода. Здоровые эпителиальные ткани при этом окрашиваются.
- Дополнительно пациентка сдает кровь на анализ — это помогает выявить наличие воспалительного процесса в организме.
- Кроме того, необходимы анализы на наличие бактериальной или вирусной инфекции. Определяют и уровень гормонов в крови. Эти тесты проводят для того, чтобы выяснить причину начала паракератоза.
Паракератоз шейки матки: признаки, симптомы, диагностика и лечение

Паракератоз – это фоновое заболевание, которое наблюдается после травмирования шейки матки во время родов, прерывания беременности, установки ВМС, инфекционных процессов, эктопии. Различают несколько видов кератоза, некоторые из них не являются опасными, другие представляют серьезную угрозу здоровью женщины.
Нарушение процесса ороговения эпителиального слоя цервикального канала считается предраковым состоянием, поэтому женщину обследуют и ставят на учет к онкологу.
Что такое паракератоз? Симптомы заболевания
Паракератоз шейки матки различают по форме проявления и по причине возникновения. Существует мнение, что при недостатке микроэлемента цинка риск возникновения данной патологии увеличивается. При различных кожных заболеваниях возможно развитие кератоза в цервикальном канале, как сопутствующего процесса.
Наиболее часто паракератоз эпителия шейки матки начинается при наличии вирусного инфицирования. Это может быть вирус папилломы человека (ВПЧ) онкогенного типа.
В результате воздействия токсических веществ, вырабатываемых вирусом, защитные силы организма снижаются, и он не способен выполнять работу по отшелушиванию верхнего слоя плоского эпителия в цервикальном канале.Поэтому слои накапливаются один над другим, образуя участки плотного ороговения, такие области имеют минимальную способность к растяжению, что приводит к повреждению и кровоточивости. Особенно заметно появление крови после полового акта.
Другие инфекции, способные вызвать ороговение плоского эпителия:
- хламидии;
- уреаплазмы;
- генитальный герпес;
- микоплазмы;
- цитомегаловирусная инфекция.
В результате ороговения появляются чешуйки, не содержащие гликоген, что характерно для женщин в период менопаузы, когда в эпителиальных клетках снижается количество крахмала.
Неспецифические вагиниты, цервициты также могут способствовать развитию паракератоза. Эктопия, когда происходит сдвиг тканей и внутренняя часть цервикального канала видна в центре шейки матки, также может стать причиной появления болезни. На стыке тканей происходит около 80 % злокачественных перерождений клеток.
Особый вид кератоза – атопический. При наличии аллергии нарушения могут возникать в необычных местах, плоский эпителий шейки матки не исключение, данная ситуация встречается редко, но такую возможность не стоит исключать.
Лечение эрозии старым способом, с помощью диатермокоагуляции или прижигания – это разрушающие эпителиальный слой процедуры. После их проведения через некоторое время могут появиться симптомы гиперкератоза.
Строение плоского эпителия в норме
В норме слизистая имеет розовый цвет и однородна по своей окраске и структуре. Гиперкератотические изменения выглядят как плотные белые структуры различной формы на шейке матки и на слизистой, выстилающей цервикальный канал. Это начальная стадия лейкоплакии, которая представляет опасность для здоровья женщин репродуктивного возраста.
При лейкоплакии и паракератозе есть опасность перерождения в плоскоклеточный рак. Особенность данного патологического процесса в бессимптомном протекании.
На незначительные выделения женщины редко обращают внимание, а при осмотре у гинеколога обнаруживаются поражения многослойного плоского эпителия, который может распространяться на область цервикса.
Плоский эпителий состоит из 4 слоев:
- поверхностный;
- промежуточный;
- парабазальный;
- базальный.
В результате изменения морфологии эпителия – отсутствие зернистого слоя, утолщение рогового слоя – снижается выработка кератогиалина (белка-предшественника кератина), что отражается на работе всего эпителия.
Очаговый и поверхностный кератозы
При отсутствии инвазивного процесса кератоз называют поверхностным, это наименее опасное состояние, однако, оно подлежит тщательному наблюдению. Обычно в процесс вовлечен небольшой участок эпителия.
Очаговый паракератоз плоского эпителия шейки матки – опасное явление. При очаговом процессе структура клеток изменена, это уже полноценный симптом лейкоплакии (предракового состояния). Заболевание требует срочного лечения и устранения причин, приведших к образованию белых бляшек на поверхности шейки матки.
Дисплазии шейки матки также характеризуются наличием измененного эпителия. На ранних стадиях рака диагностируются участки с нарушением процесса ороговения – дискератозом.
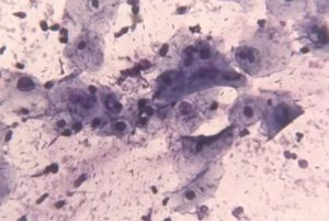
Исследование паракератоза с помощью микроскопа
Диагностика дискератоза начинается с исследования при помощи кольпоскопа и взятия фрагмента ткани на анализ (биопсии).
Кольпоскопия – простой метод исследования влагалищных стенок и шейки матки под микроскопом, введенным во влагалище. Невидимые невооруженным глазом пораженные участки хорошо просматриваются и определяются на ранних стадиях.
Признаки нарушения ороговения эпителиального слоя можно диагностировать и пролечить, но для этого нужно проходить обследование не реже одного раза в год.
При подозрении на предраковое состояние – наблюдаться у гинеколога каждые полгода.Показаниями к кольпоскопии являются:
- неприятные ощущения или боли после интимной близости;
- подозрительные кровянистые выделения, не связанные с менструальным циклом;
- кондиломы на наружных половых органах;
- боли внизу живота.
Время проведения процедуры назначается с 8 по 19 день после окончания менструации.
Койлоцитоз – признаки предракового состояния
Клетки, которые поражены ВПЧ, называются койлоцитами. Их наличие в материале для биопсии говорит о том, что иммунная система ослаблена, а вирус размножается и нарушает геном клеток, в результате этого они трансформируются в раковые. За данное открытие в 2008 году была присуждена нобелевская премия немецкому ученому.
Когда вирус папилломы обнаружен, а клетки не поражены, означает латентную стадию развития папилломавирусной инфекции.
Это означает, что организм функционирует нормально и иммунная система справляется с вирусом, держит его под контролем.
Причины для беспокойства нет, если в биоптическом материале обнаружены несколько клеток с измененными ядрами. Такая картина характерна для многих процессов, протекающих в эпителии.
Койлоциты могут иметь два ядра, неправильной или увеличенной формы. Если рассматривать под микроскопом, то бросаются в глаза темные точки, которые представляют собой крупные ядра клетки.
Важно! Лечение необходимо при дисплазии 2 и 3 степени. На первой стадии возможно самостоятельное излечение. При этом женщина должна находиться под наблюдением врача.
Точный диагноз ставится после заключения гистологов, когда названо точное число измененных клеток по отношению к здоровым.
Акантоз ШМ как лечится
Акантоз шейки матки – это утолщение слизистой оболочки цервикального канала, заболевание относится к предраковым и требует незамедлительного лечения. Болезнь развивается под действием как внешних, так и внутренних факторов – гормональные нарушения, физическая усталость, нарушение деятельности иммунитета, инфекционные заболевания половых путей.
В некоторых случаях пораженные участки покрывают значительную часть эпителия, но в начальной стадии нарушения имеют точечный характер. Их легко заметить с помощью кольпоскопа, при окрашивании подозрительного участка йодом, он не реагирует на вещество и остается неокрашенным, в то время как соседние ткани меняют цвет.
Признаками акантоза являются неприятный запах, кровянистые выделения после полового акта.
Шейка матки с паракератозом, который вызван неспецифическими причинами, лечится приемом лекарств и местными процедурами – мазями, свечами. Специфическая бактериальная инфекция лечится антибиотиками. Вирус папилломы не лечится, но контролируется приемом витаминов, чтобы усилить иммунную систему.При акантозе показано хирургическое лечение, при высоком риске злокачественного перерождения.
Выводы
Регулярные профилактические осмотры помогают вовремя распознать проблему и начать лечение. На начальных стадиях дискератозов можно обойтись местными средствами, но запущенные процессы потребуют более серьезного лечения и денежных затрат.
: Что такое лейкоплакия шейки матки?
Источник: https://sheika-matka.ru/zabolevaniya/parakeratoz-ploskogo-epiteliya-shejki-matki/
